You have no items in your shopping cart.
ZHX3 Antibody
Description
Images & Validation
−| Tested Applications | ELISA, FC, IF, IHC, WB |
|---|---|
| Reactivity | Human |
Key Properties
−| Host | Mouse |
|---|---|
| Clonality | Monoclonal |
| Isotype | IgG2a |
| Clone No. | PCRP-ZHX3-1G3 |
| Immunogen | Recombinant full-length human ZHX3 protein |
| Target | ZHX3 |
| Source/Expression System | Bioreactor |
| Molecular Weight | 105kDa |
| Purification | Protein A |
| Conjugation | Unconjugated |
Storage & Handling
−| Storage | Maintain refrigerated at 2-8°C for up to 2 weeks. For long term storage store at -20°C in small aliquots to prevent freeze-thaw cycles. |
|---|---|
| Form/Appearance | 200ug/ml of Ab purified from Bioreactor Concentrate by Protein A/G. Prepared in 10mM PBS with0.05% rAlbumin & 0.05% azide. Also available WITHOUT rAlbumin & azide at 1.0mg/ml. |
| Expiration Date | 12 months from date of receipt. |
| Disclaimer | For research use only |
Alternative Names
−Similar Products
−ZHX3 Antibody [orb1410534]
ELISA, FC, WB
Human
Mouse
Monoclonal
Unconjugated
20 μg, 100 μg, 100 μg (without BSA and Azide)

Quality Guarantee
Explore bioreagents carefree to elevate your research. All our products are rigorously tested for performance. If a product does not perform as described on its datasheet, our scientific support team will provide expert troubleshooting, a prompt replacement, or a refund. For full details, please see our Terms & Conditions and Buying Guide. Contact us at support@biorbyt.com.

Analysis of Protein Array containing more than 19000 full-length human proteins using ZHX3-Monospecific Mouse Monoclonal Antibody (PCRP-ZHX3-1G3). Z- and S- Score: The Z-score represents the strength of a signal that a monoclonal antibody (MAb) (in combination with a fluorescently-tagged anti-IgG secondary antibody) produces when binding to a particular protein on the HuProtTM array. Z-scores are described in units of standard deviations (SD's) above the mean value of all signals generated on that array. If targets on HuProtTM are arranged in descending order of the Z-score, the S-score is the difference (also in units of SD's) between the Z-score. S-score therefore represents the relative target specificity of a MAb to its intended target. A MAb is considered to specific to its intended target, if the MAb has an S-score of at least 2.5. For example, if a MAb binds to protein X with a Z-score of 43 and to protein Y with a Z-score of 14, then the S-score for the binding of that MAb to protein X is equal to 29.

Flow cytometric analysis of PFA-fixed HeLa cells. ZHX3 Mouse Monoclonal Antibody (PCRP-ZHX3-1G3) followed by goat anti-mouse IgG-CF488 (blue); isotype control (red).

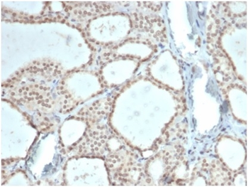
Formalin-fixed, paraffin-embedded human thyroid stained with ZHX3 Mouse Monoclonal Antibody (PCRP-ZHX3-1G3) at 2 ug/ml. HIER: Tris/EDTA, pH9.0, 45 min. 2°: HRP-polymer, 30 min. DAB, 5 min.

Immunofluorescence Analysis of PFA-fixed HeLa cells stained using ZHX3 Mouse Monoclonal Antibody (PCRP-ZHX3-1G3) followed by goat anti-mouse IgG-CF488 (green). CF640A phalloidin (red).

SDS-PAGE Analysis Purified ZHX3 Mouse Monoclonal Antibody (PCRP-ZHX3-1G3). Confirmation of Purity and Integrity of Antibody.
Quick Database Links
UniProt Details
−Documents Download
Request a Document
Protocol Information
ZHX3 Antibody (orb1410131)
Participating in our Biorbyt product reviews program enables you to support fellow scientists by sharing your firsthand experience with our products.
Login to Submit a Review











