You have no items in your shopping cart.
ZNF416 Antibody
Description
Research Area
Images & Validation
−| Tested Applications | IF, IHC |
|---|---|
| Reactivity | Human, Mouse, Rat |
| Application Notes |
Key Properties
−| Antibody Type | Primary Antibody |
|---|---|
| Host | Rabbit |
| Clonality | Polyclonal |
| Isotype | IgG |
| Immunogen | Recombinant fusion protein containing a sequence corresponding to amino acids 495-594 of human ZNF416 (NP_060349.1). |
| Target | ZNF416 |
| Purification | Affinity purification |
| Conjugation | Unconjugated |
Storage & Handling
−| Storage | Maintain refrigerated at 2-8°C for up to 2 weeks. For long term storage store at -20°C in small aliquots to prevent freeze-thaw cycles. |
|---|---|
| Form/Appearance | Liquid |
| Buffer/Preservatives | PBS with 0.02% sodium azide, 50% glycerol, pH 7.3. |
| Concentration | batch dependent |
| Expiration Date | 12 months from date of receipt. |
| Disclaimer | For research use only |
Alternative Names
−Similar Products
−
Quality Guarantee
Explore bioreagents carefree to elevate your research. All our products are rigorously tested for performance. If a product does not perform as described on its datasheet, our scientific support team will provide expert troubleshooting, a prompt replacement, or a refund. For full details, please see our Terms & Conditions and Buying Guide. Contact us at support@biorbyt.com.

Immunohistochemistry of paraffin-embedded rat ovary using ZNF416 antibody (orb1254802) at dilution of 1:100 (40x lens).

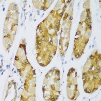
Immunohistochemistry of paraffin-embedded rat pancreas using ZNF416 antibody (orb1254802) at dilution of 1:100 (40x lens).

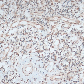
Immunohistochemistry of paraffin-embedded human tonsil using ZNF416 antibody (orb1254802) at dilution of 1:100 (40x lens).

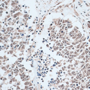
Immunohistochemistry of paraffin-embedded human lung cancer using ZNF416 antibody (orb1254802) at dilution of 1:100 (40x lens).

Immunohistochemistry of paraffin-embedded human gastric cancer using ZNF416 antibody (orb1254802) at dilution of 1:100 (40x lens).

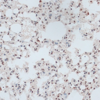
Immunohistochemistry of paraffin-embedded mouse lung using ZNF416 antibody (orb1254802) at dilution of 1:100 (40x lens).

Immunohistochemistry of paraffin-embedded mouse brain using ZNF416 antibody (orb1254802) at dilution of 1:100 (40x lens).

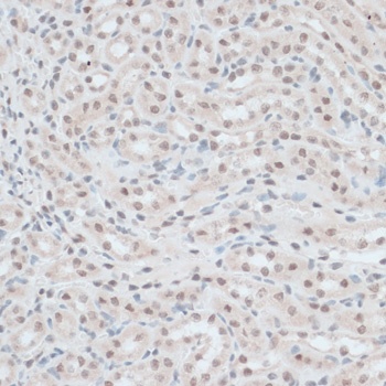
Immunohistochemistry of paraffin-embedded mouse kidney using ZNF416 antibody (orb1254802) at dilution of 1:100 (40x lens).

Immunofluorescence analysis of C6 cells using ZNF416 antibody (orb1254802) at dilution of 1:100. Blue: DAPI for nuclear staining.

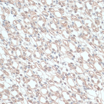
Immunohistochemistry of paraffin-embedded mouse kidney using TXN antibody (orb1259784) at dilution of 1:100 (40x lens).

Immunofluorescence analysis of U-2 OS cells using ZNF416 antibody (orb1254802) at dilution of 1:100. Blue: DAPI for nuclear staining.
Quick Database Links
UniProt Details
−Documents Download
Request a Document
Protocol Information
ZNF416 Antibody (orb1254802)
Participating in our Biorbyt product reviews program enables you to support fellow scientists by sharing your firsthand experience with our products.
Login to Submit a Review


