You have no items in your shopping cart.
ZNF433 Antibody
Description
Research Area
Images & Validation
−| Tested Applications | IF, IHC |
|---|---|
| Reactivity | Human, Mouse, Rat |
| Application Notes |
Key Properties
−| Antibody Type | Primary Antibody |
|---|---|
| Host | Rabbit |
| Clonality | Polyclonal |
| Isotype | IgG |
| Immunogen | Recombinant fusion protein containing a sequence corresponding to amino acids 564-673 of human ZNF433 (NP_001073880.1). |
| Target | ZNF433 |
| Purification | Affinity purification |
| Conjugation | Unconjugated |
Storage & Handling
−| Storage | Maintain refrigerated at 2-8°C for up to 2 weeks. For long term storage store at -20°C in small aliquots to prevent freeze-thaw cycles. |
|---|---|
| Form/Appearance | Liquid |
| Buffer/Preservatives | PBS with 0.02% sodium azide, 50% glycerol, pH 7.3. |
| Concentration | batch dependent |
| Expiration Date | 12 months from date of receipt. |
| Disclaimer | For research use only |
Alternative Names
−Similar Products
−ZNF433 Rabbit Polyclonal Antibody [orb581094]
WB
Canine, Equine, Porcine
Human
Rabbit
Polyclonal
Unconjugated
100 μlZNF433 Rabbit Polyclonal Antibody [orb575857]
WB
Canine, Porcine, Zebrafish
Human
Rabbit
Polyclonal
Unconjugated
100 μlZNF433 Rabbit Polyclonal Antibody [orb155463]
ELISA, WB
Mouse, Rat
Human
Rabbit
Polyclonal
Unconjugated
100 μg

Quality Guarantee
Explore bioreagents carefree to elevate your research. All our products are rigorously tested for performance. If a product does not perform as described on its datasheet, our scientific support team will provide expert troubleshooting, a prompt replacement, or a refund. For full details, please see our Terms & Conditions and Buying Guide. Contact us at support@biorbyt.com.

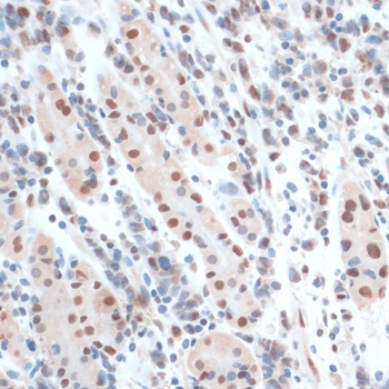
Immunohistochemistry of paraffin-embedded rat brain using ZNF433 antibody (orb1254798) at dilution of 1:100 (40x lens).

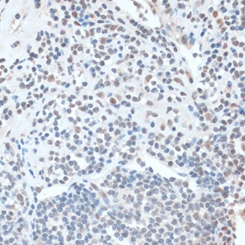
Immunohistochemistry of paraffin-embedded human lung cancer using ZNF433 antibody (orb1254798) at dilution of 1:100 (40x lens).

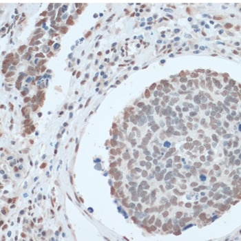
Immunohistochemistry of paraffin-embedded human appendix using ZNF433 antibody (orb1254798) at dilution of 1:100 (40x lens).

Immunohistochemistry of paraffin-embedded human gastric cancer using ZNF433 antibody (orb1254798) at dilution of 1:100 (40x lens).

Immunohistochemistry of paraffin-embedded human uterine cancer using ZNF433 antibody (orb1254798) at dilution of 1:100 (40x lens).

Immunohistochemistry of paraffin-embedded mouse lung using ZNF433 antibody (orb1254798) at dilution of 1:100 (40x lens).

Immunohistochemistry of paraffin-embedded mouse brain using ZNF433 antibody (orb1254798) at dilution of 1:100 (40x lens).

Immunohistochemistry of paraffin-embedded mouse kidney using ZNF433 antibody (orb1254798) at dilution of 1:100 (40x lens).

Immunofluorescence analysis of C6 cells using ZNF433 Polyclonal Antibody (orb1254798) at dilution of 1:100 (40x lens). Blue: DAPI for nuclear staining.

Immunofluorescence analysis of U-2 OS cells using ZNF574 antibody (orb1254799) at dilution of 1:100. Blue: DAPI for nuclear staining.

Immunofluorescence analysis of U-2 OS cells using ZNF433 Polyclonal Antibody (orb1254798) at dilution of 1:100 (40x lens). Blue: DAPI for nuclear staining.
Quick Database Links
UniProt Details
−Documents Download
Request a Document
Protocol Information
ZNF433 Antibody (orb1254798)
Participating in our Biorbyt product reviews program enables you to support fellow scientists by sharing your firsthand experience with our products.
Login to Submit a Review





