You have no items in your shopping cart.
ABCF1 Antibody
Description
Research Area
Images & Validation
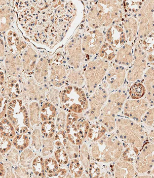
−| Tested Applications | ELISA, IP, WB |
|---|---|
| Dilution range | WB: 1:500-1:5000; IP: 1:200-1:2000; IF: 1:20-1:200 |
| Reactivity | Human, Mouse, Rat |
Key Properties
−| Antibody Type | Primary Antibody |
|---|---|
| Host | Rabbit |
| Clonality | Polyclonal |
| Isotype | IgG |
| Immunogen | ATP-binding cassette, sub-family F(GCN20), member 1 |
| Target | ABCF1 |
| Molecular Weight | 95 kDa |
| Purity | ≥95% as determined by SDS-PAGE |
| Purification | Immunogen affinity purified |
| Conjugation | Unconjugated |
Storage & Handling
−| Storage | Maintain refrigerated at 2-8°C for up to 2 weeks. For long term storage store at -20°C in small aliquots to prevent freeze-thaw cycles. |
|---|---|
| Form/Appearance | liquid |
| Disclaimer | For research use only |
Alternative Names
−Similar Products
−ABCF1 Antibody (C-term) [orb1928007]
IHC-P, WB
Porcine
Human, Mouse, Rat
Rabbit
Polyclonal
Unconjugated
50 μl, 100 μlABCF1 rabbit pAb Antibody [orb768161]
ELISA, WB
Human, Mouse, Rat
Polyclonal
Unconjugated
100 μl, 50 μlABCF1 Rabbit Polyclonal Antibody [orb77672]
ELISA, IHC, WB
Mouse, Rat
Human
Rabbit
Polyclonal
Unconjugated
100 μg

Quality Guarantee
Explore bioreagents carefree to elevate your research. All our products are rigorously tested for performance. If a product does not perform as described on its datasheet, our scientific support team will provide expert troubleshooting, a prompt replacement, or a refund. For full details, please see our Terms & Conditions and Buying Guide. Contact us at support@biorbyt.com.

IP Result of anti-ABCF1 (IP: orb624403, 4 ug; Detection: orb624403 1:500) with K-562 cells lysate 1200 ug.

K-562 cells were subjected to SDS PAGE followed by western blot with orb624403 (ABCF1 antibody) at dilution of 1:1500.
Quick Database Links
UniProt Details
−Documents Download
Request a Document
Protocol Information
ABCF1 Antibody (orb624403)
Participating in our Biorbyt product reviews program enables you to support fellow scientists by sharing your firsthand experience with our products.
Login to Submit a Review







