You have no items in your shopping cart.
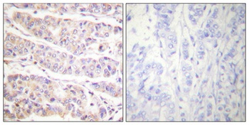
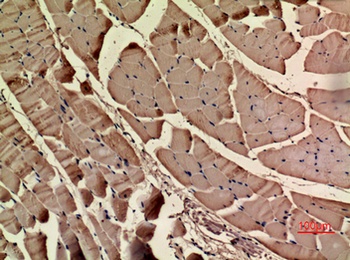
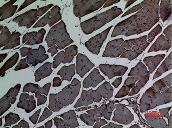
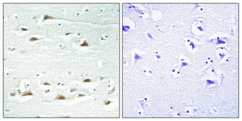
Actin rabbit pAb Antibody
Description
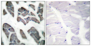
Images & Validation
−| Tested Applications | ELISA, IF, IHC, WB |
|---|---|
| Dilution Range | Western Blot: 1/500 - 1/2000. Immunohistochemistry: 1/100 - 1/300. ELISA: 1/10000. Not yet tested in other applications. |
| Reactivity | Fish, Human, Mouse, Rat |
Key Properties
−| Clonality | Polyclonal |
|---|---|
| Isotype | IgG |
| Immunogen | The antiserum was produced against synthesized peptide derived from human Actin. AA range:326-375 |
| Molecular Weight | 45 |
| Purification | The antibody was affinity-purified from rabbit antiserum by affinity-chromatography using epitope-specific immunogen. |
| Conjugation | Unconjugated |
Storage & Handling
−| Storage | Maintain refrigerated at 2-8°C for up to 2 weeks. For long term storage store at -20°C in small aliquots to prevent freeze-thaw cycles. |
|---|---|
| Buffer/Preservatives | PBS with 0.02% sodium azide and 50% glycerol pH 7.4. |
| Concentration | 1 mg/ml |
| Expiration Date | 12 months from date of receipt. |
| Disclaimer | For research use only |
Alternative Names
−Similar Products
−Filamin 1 (phospho Ser2152) rabbit pAb Antibody [orb764346]
ELISA, IF, IHC, WB
Human, Monkey, Mouse, Rat
Polyclonal
Unconjugated
100 μl, 50 μlFilamin 1 rabbit pAb Antibody [orb765220]
ELISA, IF, IHC, WB
Human, Mouse, Rat
Polyclonal
Unconjugated
100 μl, 50 μlα-SMA rabbit pAb Antibody [orb766725]
ELISA, IF, IHC, WB
Human, Mouse, Rat
Polyclonal
Unconjugated
100 μlActin-α cardiac muscle rabbit pAb Antibody [orb766715]
ELISA, IF, IHC, WB
Human, Mouse, Rat
Polyclonal
Unconjugated
100 μl

Quality Guarantee
Explore bioreagents carefree to elevate your research. All our products are rigorously tested for performance. If a product does not perform as described on its datasheet, our scientific support team will provide expert troubleshooting, a prompt replacement, or a refund. For full details, please see our Terms & Conditions and Buying Guide. Contact us at support@biorbyt.com.

Western Blot analysis of various cells using Actin Polyclonal Antibody diluted at 1:2000.

Western Blot analysis of HeLa cells using Actin Polyclonal Antibody diluted at 1:2000.

Western blot analysis of various lysis using Actin Polyclonal Antibody diluted at 1:2000. Secondary antibody was diluted at 1:20000.

Western blot analysis of various lysis using Actin Polyclonal Antibody diluted at 1:2000. Secondary antibody was diluted at 1:20000.
Documents Download
Request a Document
Protocol Information
Actin rabbit pAb Antibody (orb764464)
Participating in our Biorbyt product reviews program enables you to support fellow scientists by sharing your firsthand experience with our products.
Login to Submit a Review


















