You have no items in your shopping cart.
AFP Antibody
Description
Images & Validation
−| Tested Applications | ELISA, IHC, IP, WB |
|---|---|
| Dilution range | WB: 1:1000-1:4000; IP: 1:500-1:2000; IHC: 1:20-1:200 |
| Reactivity | Human, Mouse, Rat |
Key Properties
−| Antibody Type | Primary Antibody |
|---|---|
| Host | Rabbit |
| Clonality | Polyclonal |
| Isotype | IgG |
| Immunogen | alpha-fetoprotein |
| Target | AFP |
| Molecular Weight | 69 kDa |
| Purity | ≥95% as determined by SDS-PAGE |
| Purification | Immunogen affinity purified |
| Conjugation | Unconjugated |
Storage & Handling
−| Storage | Maintain refrigerated at 2-8°C for up to 2 weeks. For long term storage store at -20°C in small aliquots to prevent freeze-thaw cycles. |
|---|---|
| Form/Appearance | liquid |
| Disclaimer | For research use only |
Alternative Names
−Similar Products
−AFP alpha 1 Fetoprotein Monoclonal Antibody(17C5) [orb1415951]
IF, IHC-P, WB
Human
Mouse
Monoclonal
Unconjugated
100 μlAFP Rabbit Polyclonal Antibody [orb1181]
WB
Mouse, Rat
Rabbit
Polyclonal
Unconjugated
50 μl, 100 μl, 200 μlAFP (A2) Mouse Monoclonal Antibody [orb4247]
ELISA, IF, IHC-Fr, IHC-P, WB
Human, Rat
Human, Mouse, Rat
Mouse
Monoclonal
Unconjugated
200 μg, 200 μl, 50 μl, 100 μl

Quality Guarantee
Explore bioreagents carefree to elevate your research. All our products are rigorously tested for performance. If a product does not perform as described on its datasheet, our scientific support team will provide expert troubleshooting, a prompt replacement, or a refund. For full details, please see our Terms & Conditions and Buying Guide. Contact us at support@biorbyt.com.

IP Result of anti-AFP (IP: orb624544, 4 ug; Detection: orb624544 1:1000) with HepG2 cells lysate 6000 ug.

human brain tissue were subjected to SDS PAGE followed by western blot with orb624544 (AFP antibody) at dilution of 1:2000.

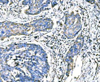
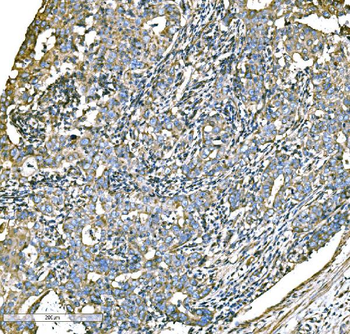
Immunohistochemistry of paraffin-embedded human liver cancer using orb624544 (AFP antibody) at dilution of 1:50.
Quick Database Links
UniProt Details
−Documents Download
Request a Document
Protocol Information
AFP Antibody (orb624544)
Participating in our Biorbyt product reviews program enables you to support fellow scientists by sharing your firsthand experience with our products.
Login to Submit a Review



















