You have no items in your shopping cart.
BCMA Antibody
Description
Images & Validation
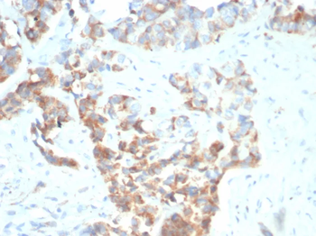
−| Tested Applications | ELISA, FC, IF |
|---|---|
| Dilution Range | Flow Cyt 1:100 |
| Reactivity | Human |
Key Properties
−| Antibody Type | Recombinant Antibody |
|---|---|
| Host | Rabbit |
| Clonality | Monoclonal |
| Isotype | Rabbit IgG |
| Clone No. | DM6 |
| Target | BCMA |
| Purification | Purified from cell culture supernatant by affinity chromatography |
| Conjugation | Unconjugated |
Storage & Handling
−| Storage | Maintain refrigerated at 2-8°C for up to 2 weeks. For long term storage store at -20°C in small aliquots to prevent freeze-thaw cycles. |
|---|---|
| Form/Appearance | Liquid |
| Expiration Date | 12 months from date of receipt. |
| Disclaimer | For research use only |
Alternative Names
−Similar Products
−BCMA Antibody [orb689332]
ELISA, FC, IF, IP
Human
Rabbit
Monoclonal
Unconjugated
500 μg, 100 μg, 50 μg, 10 μgBCMA/Tnfrsf17 Rabbit Polyclonal Antibody [orb669206]
FC, IHC, WB
Mouse, Rat
Rabbit
Polyclonal
Unconjugated
100 μgHuman Tumor Necrosis Factor Receptor Superfamily, Member 17 (TNFRSF17) ELISA Kit [orb1817288]
Human
0.16-10 ng/mL
0.071 ng/mL
48 T, 96 TMouse Tumor Necrosis Factor Receptor Superfamily, Member 17 (TNFRSF17) ELISA Kit [orb778489]
Mouse
0.32-20 ng/mL
0.102 ng/mL
96 T, 48 TTNFRSF17 Antibody [orb2310063]
ELISA, IHC
Human
Mouse
Monoclonal
Unconjugated
100 μg, 20 μg, 100 μg (without BSA and Azide)

Quality Guarantee
Explore bioreagents carefree to elevate your research. All our products are rigorously tested for performance. If a product does not perform as described on its datasheet, our scientific support team will provide expert troubleshooting, a prompt replacement, or a refund. For full details, please see our Terms & Conditions and Buying Guide. Contact us at support@biorbyt.com.

A. Flow cytometry analysis with anti-BCMA (DM6) on K562-BCMA (Red histogram) (K562 cells stably transduced by human BCMA full length gene) and K562 (Negative control cell line) (Blue histogram). B. Flow cytometry data of serially titrated anti-BCMA (DM6). The Y-axis represents the mean fluorescence intensity (MFI) while the X-axis represents the concentration of IgG used.

A. Flow cytometry analysis with anti-BCMA (DM6) on NCI-H929 cells (Red histogram) or rabbit control antibody on NCI-H929 cells (Blue histogram). B. Flow cytometry data of serially titrated anti-BCMA (DM6) on NCI-H929 cells. The Y-axis represents the mean fluorescence intensity (MFI) while the X-axis represents the concentration of IgG used.

Phylogenetic analysis of different Anti-BCMA DimAb clones. A) heavy chain and B) Light chain.

Affinity ranking of different DimAb clones by titration of rabbit DimAb antibody concentration onto K562-BCMA or NCI-H929 cells. Different concentrations of various anti-BCMA DimAb clones were incubated with K562-BCMA (A) or NCI-H929 cells (B) at 4°C. Bound rabbit IgG was detected in flow cytometry analysis. The Y-axis represents the mean fluorescence intensity (MFI) while the X-axis represents the concentration of IgG used.

ELISA plate was coated with recombinant BCMA-hFc fusion protein orb689362, followed by pre-blocking with huC11D5.3 antibody (Grey bar) or rabbit control IgG (Black bar), and then different rabbit DimAbs antibodies were added to check the competitive inhibition of huC11D5.3. DM3 clone exhibits the strongest inhibition (Red bar). This data indicated that DM3 bind to the same epitope as bb2121.

Immunoprecipitation analysis. Cellular overexpression lysates (made from HEK293F cells transfected with FLAG tagged human BCMA full length gene) were pre-incubated with 6 different rabbit DimAb clones and negative control IgG. The immunocomplexes were further pulled down by protein A beads, fractionated, and blotted with mouse anti-FLAG monoclonal antibody.

Western blot analysis of BCMA protein using Anti-BCMA antibody (Cat. orb689333) at 1:1000 dilution.Secondary antibody: HRP Goat Anti-Rabbit IgG (H L) at 1:5000 dilution.1. K562 cell lysate (negative control); 2. K562 cell lysate with overexpressed human BCMA proteins; 3. MM.1S cell lysate (native BCMA protein)

Flow cytometry analysis of antigen binding of rabbit anti-human BCMA mAb (orb689333). (A) orb689333 does not bind to Jurkat cells that do not express BCMA. (B) A clear peak shift of orb689333 was seen compared to the control when incubated with BCMA-expressing MM.1S cells, indicating strong binding of orb689333 to BCMA. Antibodies were incubated at 2 μg/mL.
Quick Database Links
UniProt Details
−Documents Download
Request a Document
Protocol Information
BCMA Antibody (orb689333)
Participating in our Biorbyt product reviews program enables you to support fellow scientists by sharing your firsthand experience with our products.
Login to Submit a Review
















