You have no items in your shopping cart.
Calnexin Antibody
Description
Research Area
Images & Validation
−| Tested Applications | FC, IF, IHC-P, WB |
|---|---|
| Reactivity | Human |
Key Properties
−| Antibody Type | Primary Antibody |
|---|---|
| Host | Mouse |
| Clonality | Monoclonal |
| Clone No. | CANX/1541 |
| Conjugation | Unconjugated |
Storage & Handling
−| Storage | Maintain refrigerated at 2-8°C for up to 2 weeks. For long term storage store at -20°C in small aliquots to prevent freeze-thaw cycles |
|---|---|
| Expiration Date | 12 months from date of receipt. |
| Disclaimer | For research use only |
Alternative Names
−Similar Products
−Calnexin Recombinant Rabbit Monoclonal Antibody [orb704311]
IF, IHC-Fr, IHC-P, WB
Rat
Human
Rabbit
Recombinant
Unconjugated
50 μl, 100 μl, 25 μlCalnexin Antibody [orb20292]
ELISA, IF, IHC, WB
Bovine, Canine, Mouse, Porcine
Human, Rat
Goat
Polyclonal
Unconjugated
100 μgCalnexin/CANX Mouse Monoclonal Antibody [orb1184746]
FC, ICC, IF, IHC, WB
Human, Mouse, Rat
Mouse
Monoclonal
Unconjugated
100 μgCalnexin/CANX Rabbit Polyclonal Antibody [orb865367]
ELISA, FC, ICC, IF, IHC, WB
Human, Mouse
Rabbit
Polyclonal
Unconjugated
100 μgCalnexin Polyclonal Antibody [orb1414483]
IF, IHC-P, WB
Human, Mouse, Rat
Rabbit
Polyclonal
Unconjugated
100 μl

Quality Guarantee
Explore bioreagents carefree to elevate your research. All our products are rigorously tested for performance. If a product does not perform as described on its datasheet, our scientific support team will provide expert troubleshooting, a prompt replacement, or a refund. For full details, please see our Terms & Conditions and Buying Guide. Contact us at support@biorbyt.com.

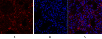
Formalin-fixed, paraffin-embedded human Renal Cell Carcinoma stained with Calnexin Monoclonal Antibody (CANX/1541).

Formalin-fixed, paraffin-embedded human Renal Cell Carcinoma stained with Calnexin Monoclonal Antibody (CANX/1541).

Formalin-fixed, paraffin-embedded human Small Intestinal Carcinoma stained with Calnexin Monoclonal Antibody (CANX/1541).
Quick Database Links
UniProt Details
−Documents Download
Request a Document
Protocol Information
Calnexin Antibody (orb1460957)
Participating in our Biorbyt product reviews program enables you to support fellow scientists by sharing your firsthand experience with our products.
Login to Submit a Review








































