You have no items in your shopping cart.
Description
Research Area
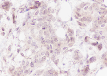
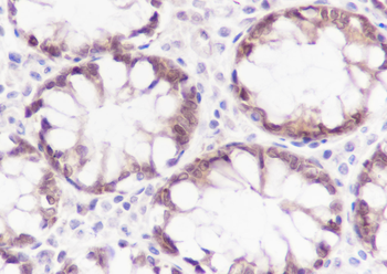
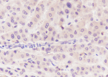
Images & Validation
−| Tested Applications | IHC, IP, WB |
|---|---|
| Dilution Range | WB 1:500-2000 IHC 1:50-200 IP 1:20 |
| Reactivity | Mouse, Rat |
Key Properties
−| Antibody Type | Primary Antibody |
|---|---|
| Host | Rabbit |
| Clonality | Monoclonal |
| Isotype | Rabbit IgG |
| Clone No. | EEB-3 |
| Immunogen | A synthesized peptide derived from human Caspase-7 |
| Target | Caspase-7 |
| Molecular Weight | 17 kDa |
| Purification | Affinity-chromatography |
| Conjugation | Unconjugated |
Storage & Handling
−| Storage | Maintain refrigerated at 2-8°C for up to 2 weeks. For long term storage store at -20°C in small aliquots to prevent freeze-thaw cycles. |
|---|---|
| Form/Appearance | Liquid |
| Buffer/Preservatives | Rabbit IgG in stabilizing components, phosphate buffered saline, pH 7.4, 150mM NaCl, 0.02% sodium azide and 50% glycerol. *This antibody is supplied in a stabilized formulation. Compatibility with conjugation reactions depends on the chemistry of the conjugation method used. For conjugation methods that are not compatible with the stabilizing components present in this formulation, a carrier-free antibody format is required. |
| Concentration | 0.5mg/ml |
| Expiration Date | 12 months from date of receipt. |
| Disclaimer | For research use only |
Alternative Names
−Similar Products
−Caspase-7 Recombinant Rabbit Monoclonal Antibody [orb1151994]
FC, ICC, IF, IHC-Fr, IHC-P, WB
Mouse
Human
Rabbit
Recombinant
Unconjugated
25 μl, 100 μl, 50 μlGJB1 Rabbit Monoclonal Antibody [orb866650]
FC, IHC, WB
Human
Rabbit
Monoclonal
Unconjugated
TFPI Rabbit Monoclonal Antibody [orb866553]
WB
Human
Rabbit
Monoclonal
Unconjugated
CD79a Rabbit Monoclonal Antibody [orb547588]
FC, ICC, IF, IHC, WB
Human
Rabbit
Monoclonal
Unconjugated
100 μl

Quality Guarantee
Explore bioreagents carefree to elevate your research. All our products are rigorously tested for performance. If a product does not perform as described on its datasheet, our scientific support team will provide expert troubleshooting, a prompt replacement, or a refund. For full details, please see our Terms & Conditions and Buying Guide. Contact us at support@biorbyt.com.

WB analysis of Caspase-7 expression in NIH/3T3 Cell.
Quick Database Links
UniProt Details
−Documents Download
Request a Document
Protocol Information
Caspase-7 Casp7 Rabbit Monoclonal Antibody (orb547587)
Participating in our Biorbyt product reviews program enables you to support fellow scientists by sharing your firsthand experience with our products.
Login to Submit a Review






