You have no items in your shopping cart.
CD163 Rabbit Polyclonal Antibody
Description
Research Area
Images & Validation
−| Tested Applications | IHC, WB |
|---|---|
| Dilution Range | Western blot, 0.1-0.5μg/ml, Human Immunohistochemistry (Paraffin-embedded Section), 2-5μg/ml, Human |
| Reactivity | Human |
Key Properties
−| Antibody Type | Primary Antibody |
|---|---|
| Host | Rabbit |
| Clonality | Polyclonal |
| Isotype | Rabbit IgG |
| Immunogen | E. coli-derived human CD163 recombinant protein (Position: I1056-L1156). |
| Target | Scavenger receptor cysteine-rich type 1 protein M130 |
| Molecular Weight | 150 kDa |
| Purification | Immunogen affinity purified. |
| Conjugation | Unconjugated |
Storage & Handling
−| Storage | Maintain refrigerated at 2-8°C for up to 2 weeks. For long term storage store at -20°C in small aliquots to prevent freeze-thaw cycles. |
|---|---|
| Form/Appearance | Lyophilized |
| Buffer/Preservatives | Each vial contains 4 mg Trehalose, 0.9 mg NaCl and 0.2 mg Na2HPO4. |
| Concentration | Adding 0.2 ml of distilled water will yield a concentration of 500 μg/ml. |
| Expiration Date | 12 months from date of receipt. |
| Disclaimer | For research use only |
Alternative Names
−Similar Products
−CD163 Rabbit Polyclonal Antibody [orb182468]
IF, IHC-Fr, IHC-P, WB
Canine, Equine, Porcine, Rat
Human, Mouse, Rat
Rabbit
Polyclonal
Unconjugated
50 μl, 100 μl, 200 μlCD163b rabbit pAb Antibody [orb767011]
ELISA, IF, IHC, WB
Human, Mouse, Rat
Polyclonal
Unconjugated
100 μlCD163 Rabbit Polyclonal Antibody (PE) [orb124511]
IF
Canine, Equine, Porcine, Rat
Human, Mouse, Rat
Rabbit
Polyclonal
PE
100 μlCD163 Rabbit Polyclonal Antibody (FITC) [orb461389]
IF
Canine, Equine, Porcine, Rat
Human, Mouse, Rat
Rabbit
Polyclonal
FITC
100 μl

Quality Guarantee
Explore bioreagents carefree to elevate your research. All our products are rigorously tested for performance. If a product does not perform as described on its datasheet, our scientific support team will provide expert troubleshooting, a prompt replacement, or a refund. For full details, please see our Terms & Conditions and Buying Guide. Contact us at support@biorbyt.com.

Western blot analysis of Lane 1: Recombinant Human CD163 Protein 10ng, Lane 2: Recombinant Human CD163 Protein 5ng using CD163 antibody

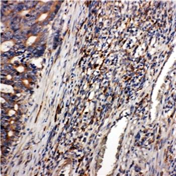
Immunohistochemical analysis of formalin-fixed paraffin embedded Human Mammary Cancer Tissue using CD163 antibody

Immunohistochemical analysis of formalin-fixed paraffin embedded Human Intestinal Cancer Tissue using CD163 antibody
Quick Database Links
UniProt Details
−Documents Download
Request a Document
Protocol Information
CD163 Rabbit Polyclonal Antibody (orb137860)
Participating in our Biorbyt product reviews program enables you to support fellow scientists by sharing your firsthand experience with our products.
Login to Submit a Review



















