You have no items in your shopping cart.
RSK1 p90 Rabbit Monoclonal Antibody
Description
Research Area
Images & Validation
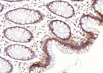
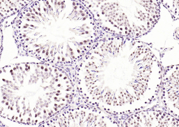
−| Tested Applications | FC, ICC, IF, IHC, IP, WB |
|---|---|
| Dilution range | WB 1:500-2000 IHC 1:50-200 ICC/IF 1:50-200 IP 1:50 FC 1:50 |
| Reactivity | Human |
Key Properties
−| Antibody Type | Primary Antibody |
|---|---|
| Host | Rabbit |
| Clonality | Monoclonal |
| Isotype | IgG |
| Clone No. | 21R88 |
| Immunogen | A synthesized peptide derived from human RSK1 p90 |
| Target | Ribosomal protein S6 kinase alpha-1 |
| Molecular Weight | 90 kDa |
| Purification | Affinity-chromatography |
| Conjugation | Unconjugated |
Storage & Handling
−| Storage | Maintain refrigerated at 2-8°C for up to 2 weeks. For long term storage store at -20°C in small aliquots to prevent freeze-thaw cycles. |
|---|---|
| Form/Appearance | Liquid |
| Buffer/Preservatives | Rabbit IgG in phosphate buffered saline, pH 7.4, 150mM NaCl, 0.02% sodium azide and 50% glycerol, 0.4-0.5mg/ml rAlbumin. |
| Concentration | 0.5mg/ml |
| Disclaimer | For research use only |
Alternative Names
−Similar Products
−Phospho-RPS6KA1 (Ser380) Recombinant Rabbit Monoclonal Antibody [orb559128]
ICC, IF, IHC-Fr, IHC-P, WB
Mouse
Human, Mouse, Rat
Rabbit
Recombinant
Unconjugated
100 μl, 50 μlPhospho-RSK1 (S380) RPS6KA1 Rabbit Monoclonal Antibody [orb548623]
ICC, IF, IP, WB
Human, Mouse, Rat
Rabbit
Monoclonal
Unconjugated
100 μlRecombinant RSK1 (Phospho-T359+S363) Rabbit mAb Antibody [orb2988936]
WB
Human
Rabbit
Monoclonal
Unconjugated
50 μl, 30 μl, 200 μl, 100 μlRecombinant RSK1 (Phospho-S380) Rabbit mAb Antibody [orb2988932]
WB
Human, Rat
Rabbit
Monoclonal
Unconjugated
50 μl, 200 μl, 30 μl, 100 μlPhospho-RPS6KA1 (Thr359 + Ser363) Recombinant Rabbit Monoclonal Antibody [orb559129]
ICC, IF, IHC-Fr, IHC-P, WB
Human, Mouse, Rat
Human
Rabbit
Recombinant
Unconjugated
100 μl, 50 μl

Quality Guarantee
Explore bioreagents carefree to elevate your research. All our products are rigorously tested for performance. If a product does not perform as described on its datasheet, our scientific support team will provide expert troubleshooting, a prompt replacement, or a refund. For full details, please see our Terms & Conditions and Buying Guide. Contact us at support@biorbyt.com.

Western blot analysis of RSK1 p90 expression in MCF7 cell lysate.
Quick Database Links
UniProt Details
−Documents Download
Request a Document
Protocol Information
RSK1 p90 Rabbit Monoclonal Antibody (orb866232)
Participating in our Biorbyt product reviews program enables you to support fellow scientists by sharing your firsthand experience with our products.
Login to Submit a Review






