You have no items in your shopping cart.
BCAR1 Antibody
Description
Research Area
Images & Validation
−| Tested Applications | ELISA, IHC, WB |
|---|---|
| Dilution Range | WB: 1: 500-1: 3000, IHC-P: 1: 50-1: 100 |
| Reactivity | Human, Mouse, Rat |
Key Properties
−| Host | Rabbit |
|---|---|
| Clonality | Polyclonal |
| Isotype | IgG |
| Immunogen | Synthesized non-phosphopeptide derived from Human p130 Cas around the phosphorylation site of tyrosine 410 (G-V-T-A-V). |
| Target | BCAR1 |
| Purification | The antibody was affinity-purified from rabbit antiserum by affinity-chromatography using epitope-specific immunogen. |
| Conjugation | Unconjugated |
Storage & Handling
−| Storage | Maintain refrigerated at 2-8°C for up to 2 weeks. For long term storage store at -20°C in small aliquots to prevent freeze-thaw cycles. |
|---|---|
| Form/Appearance | liquid |
| Buffer/Preservatives | Rabbit IgG in phosphate buffered saline (without Mg2+ and Ca2+), pH 7.4, 150mM NaCl, 0.02% sodium azide and 50% glycerol. |
| Expiration Date | 12 months from date of receipt. |
| Disclaimer | For research use only |
Alternative Names
−Similar Products
−p130 Cas rabbit pAb Antibody [orb765969]
ELISA, IF, IHC, WB
Human, Mouse, Rat
Polyclonal
Unconjugated
100 μl, 50 μlHuman Breast Cancer Anti-Estrogen Resistance 1 (BCAR1) ELISA Kit [orb777556]
Human
78.13-5000 pg/mL
26 pg/mL
96 T, 48 TBCAR1 Antibody [orb523165]
ELISA, IHC, WB
Human, Mouse, Rat
Rabbit
Polyclonal
Unconjugated
50 μl, 100 μl

Quality Guarantee
Explore bioreagents carefree to elevate your research. All our products are rigorously tested for performance. If a product does not perform as described on its datasheet, our scientific support team will provide expert troubleshooting, a prompt replacement, or a refund. For full details, please see our Terms & Conditions and Buying Guide. Contact us at support@biorbyt.com.

Western blot analysis of HuvEc cells using BCAR1 (Ab-410) antibody

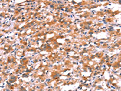
Immunohistochemical staining of human breast carcinoma tissue using BCAR1 (Ab-410) antibody

Western blot analysis of NIH/3T3 cells using BCAR1 (Ab-410) antibody
Quick Database Links
UniProt Details
−Documents Download
Request a Document
Protocol Information
BCAR1 Antibody (orb685369)
Participating in our Biorbyt product reviews program enables you to support fellow scientists by sharing your firsthand experience with our products.
Login to Submit a Review












