You have no items in your shopping cart.
BIRC2 Antibody
Description
Research Area
Images & Validation
−| Tested Applications | ELISA, IHC, WB |
|---|---|
| Dilution Range | WB:1:200-1000, IHC-P:1:20-1:200 |
| Reactivity | Human |
Key Properties
−| Host | Rabbit |
|---|---|
| Clonality | Polyclonal |
| Isotype | IgG |
| Immunogen | Recombinant Human Baculoviral IAP repeat-containing protein 2 protein (1-300AA) |
| Target | BIRC2 |
| Purification | Antigen Affinity Purified |
| Conjugation | Unconjugated |
Storage & Handling
−| Storage | Maintain refrigerated at 2-8°C for up to 2 weeks. For long term storage store at -20°C in small aliquots to prevent freeze-thaw cycles. |
|---|---|
| Form/Appearance | Liquid |
| Buffer/Preservatives | PBS with 0.02% sodium azide, 50% glycerol, pH7.3. |
| Expiration Date | 12 months from date of receipt. |
| Disclaimer | For research use only |
Alternative Names
−Similar Products
−BIRC2 Antibody [orb1239295]
ELISA, IF, IHC-P, WB
Gallus, Porcine
Human, Mouse, Rat
Rabbit
Polyclonal
Unconjugated
0.1 mg, 0.02 mgCIAP1 Rabbit Polyclonal Antibody [orb100469]
IF, IHC-Fr, IHC-P, WB
Human
Mouse, Rat
Rabbit
Polyclonal
Unconjugated
50 μl, 100 μl, 200 μlcIAP1/BIRC2 Rabbit Polyclonal Antibody [orb402256]
ELISA, FC, ICC, IF, WB
Human, Mouse, Rat
Rabbit
Polyclonal
Unconjugated
100 μgBIRC2 Rabbit Monoclonal Antibody [orb547834]
ICC, IF, IHC, WB
Human, Rat
Rabbit
Monoclonal
Unconjugated
100 μl

Quality Guarantee
Explore bioreagents carefree to elevate your research. All our products are rigorously tested for performance. If a product does not perform as described on its datasheet, our scientific support team will provide expert troubleshooting, a prompt replacement, or a refund. For full details, please see our Terms & Conditions and Buying Guide. Contact us at support@biorbyt.com.

Immunohistochemical staining of human liver

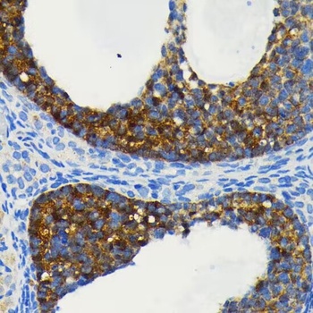
Immunohistochemical staining of human testis tissue using BIRC2 antibody

Western blot analysis of HepG2 whole cell lysate(lane 1), K562 whole cell lysate(lane 2) using BIRC2 antibody
Quick Database Links
UniProt Details
−Documents Download
Request a Document
Protocol Information
BIRC2 Antibody (orb352470)
Participating in our Biorbyt product reviews program enables you to support fellow scientists by sharing your firsthand experience with our products.
Login to Submit a Review
















