You have no items in your shopping cart.
CD45RB Antibody
Description
Images & Validation
−| Tested Applications | FACS, IF, IHC-P, WB |
|---|---|
| Dilution range | Flow cytometry: 0.5-1ug/10^6 cells,Immunofluorescence: 0.5-1ug/ml,Western blot: 1-2ug/ml,Immunohistochemistry (FFPE): 0.25-0.5ug/ml for 30 min at RT |
| Reactivity | Human |
| Application Notes |
Key Properties
−| Antibody Type | Primary Antibody |
|---|---|
| Host | Mouse |
| Clonality | Monoclonal |
| Isotype | Mouse IgG1, kappa |
| Clone No. | PD7/26 |
| Immunogen | Human peripheral blood lymphocytes maintained in T cell growth factor were used as the immunogen for this CD45RB antibody. |
| Purification | Protein G purified |
| Conjugation | Unconjugated |
Storage & Handling
−| Storage | Maintain refrigerated at 2-8°C for up to 2 weeks. For long term storage store at -20°C in small aliquots to prevent freeze-thaw cycles. |
|---|---|
| Buffer/Preservatives | 1X PBS, pH 7.4 |
| Disclaimer | For research use only |
Similar Products
−CD45 Antibody (Leukocyte marker) [orb606479]
FACS, IF, IHC-P, WB
Human
Rabbit
Recombinant
Unconjugated
20 μg, 100 μg

Quality Guarantee
Explore bioreagents carefree to elevate your research. All our products are rigorously tested for performance. If a product does not perform as described on its datasheet, our scientific support team will provide expert troubleshooting, a prompt replacement, or a refund. For full details, please see our Terms & Conditions and Buying Guide. Contact us at support@biorbyt.com.

IHC testing of human tonsil (10X) stained with CD45RB antibody (PD7/26).

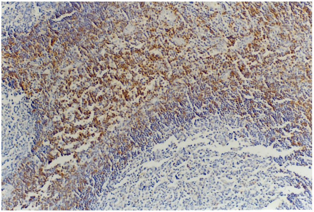
IHC testing of human tonsil (20X) stained with PD7/26 mAb.

Western blot testing of Daudi cell lysate with CD45RB antibody (clone PD7/26). Predicted molecular weight: ~147/180~220kDa (unmodified/glycosylated).

SDS-PAGE Analysis of Purified, BSA-Free CD45RB Antibody (clone PD7/26). Confirmation of Integrity and Purity of the Antibody.
Quick Database Links
Documents Download
Request a Document
Protocol Information
CD45RB Antibody (orb2637917)
Participating in our Biorbyt product reviews program enables you to support fellow scientists by sharing your firsthand experience with our products.
Login to Submit a Review























