You have no items in your shopping cart.
CD73 Mouse Monoclonal Antibody
Description
Research Area
Images & Validation
−| Tested Applications | FC, IF, IHC-Fr, IHC-P, WB |
|---|---|
| Dilution Range | WB=1:500-2000, IHC-P=1:200-400, IHC-F=1:400-800, IF=1:100-500, Flow-Cyt=1ug/Test |
| Reactivity | Human |
Key Properties
−| Antibody Type | Primary Antibody |
|---|---|
| Host | Mouse |
| Clonality | Monoclonal |
| Isotype | Mouse IgG1 |
| Clone No. | 4C3 |
| Immunogen | Recombinant human CD73 protein |
| Target | Nt5e |
| Molecular Weight | 63 kDa |
| Purification | Affinity purified by Protein A |
| Conjugation | Unconjugated |
Storage & Handling
−| Storage | Maintain refrigerated at 2-8°C for up to 2 weeks. For long term storage store at -20°C in small aliquots to prevent freeze-thaw cycles. |
|---|---|
| Form/Appearance | Liquid |
| Buffer/Preservatives | 0.01M TBS (pH7.4) with 1% rAlbumin, 0.02% Proclin300 and 50% Glycerol. |
| Concentration | 1mg/ml |
| Expiration Date | 12 months from date of receipt. |
| Disclaimer | For research use only |
Alternative Names
−Similar Products
−
Quality Guarantee
Explore bioreagents carefree to elevate your research. All our products are rigorously tested for performance. If a product does not perform as described on its datasheet, our scientific support team will provide expert troubleshooting, a prompt replacement, or a refund. For full details, please see our Terms & Conditions and Buying Guide. Contact us at support@biorbyt.com.

Blank control: A375. Primary Antibody (green line): Mouse Anti-CD73 antibody (orb783396), dilution: 1 ug/Test, Secondary Antibody (white blue line): Goat anti-Mouse IgG-AF488, dilution: 0.5 ug/Test. Isotype control (orange line): Normal Mouse IgG, Protocol, The cells were incubated in 5% BSA to block non-specific protein-protein interactions for 30 min at room temperature. Cells stained with Primary Antibody for 30 min at room temperature. The secondary antibody used for 40 min at room temperature. Acquisition of 20000 events was performed.

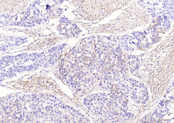
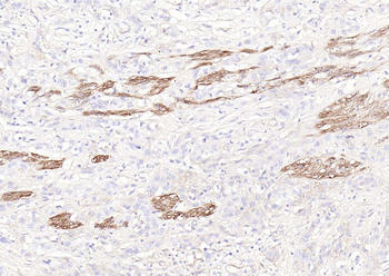
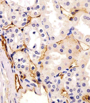
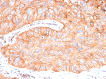
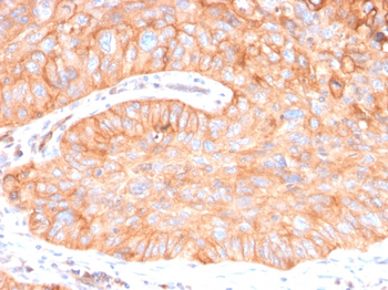
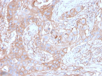
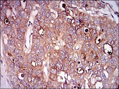
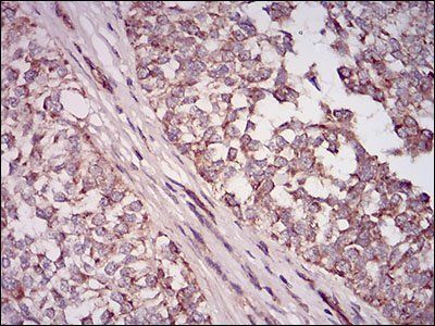
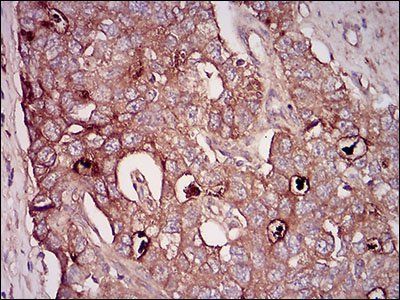
Paraformaldehyde-fixed, paraffin embedded (human colon carcinoma), Antigen retrieval by boiling in sodium citrate buffer (pH6.0) for 15 min, Block endogenous peroxidase by 3% hydrogen peroxide for 20 minutes, Blocking buffer (normal goat serum) at 37°C for 30 min, Antibody incubation with (CD73) Monoclonal Antibody, Unconjugated (orb783396) at 1:200 overnight at 4°C, followed by operating according to SP Kit (Mouse) instructionsand DAB staining.

Paraformaldehyde-fixed, paraffin embedded (Human esophageal cancer), Antigen retrieval by boiling in sodium citrate buffer (pH6.0) for 15 min, Block endogenous peroxidase by 3% hydrogen peroxide for 20 minutes, Blocking buffer (normal goat serum) at 37°C for 30 min, Antibody incubation with (CD73) Monoclonal Antibody, Unconjugated (orb783396) at 1:200 overnight at 4°C, followed by operating according to SP Kit (Mouse) instructionsand DAB staining.

Paraformaldehyde-fixed, paraffin embedded (human gastric carcinoma), Antigen retrieval by boiling in sodium citrate buffer (pH6.0) for 15 min, Block endogenous peroxidase by 3% hydrogen peroxide for 20 minutes, Blocking buffer (normal goat serum) at 37°C for 30 min, Antibody incubation with (CD73) Monoclonal Antibody, Unconjugated (orb783396) at 1:200 overnight at 4°C, followed by operating according to SP Kit (Mouse) instructionsand DAB staining.

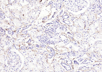
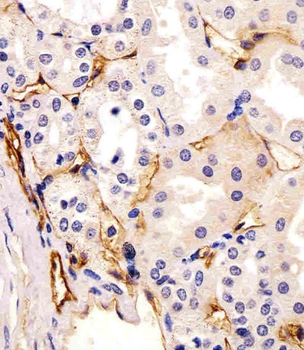
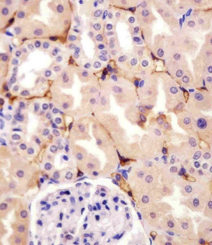
Paraformaldehyde-fixed, paraffin embedded (human kidney tissue sections), Antigen retrieval by boiling in sodium citrate buffer (pH6.0) for 15 min, Block endogenous peroxidase by 3% hydrogen peroxide for 20 minutes, Blocking buffer (normal goat serum) at 37°C for 30 min, Antibody incubation with (CD73) Monoclonal Antibody, Unconjugated (orb783396) at 1:25 overnight at 4°C, followed by operating according to SP Kit (Mouse) instructionsand DAB staining.

Paraformaldehyde-fixed, paraffin embedded (human kidney tissue sections), Antigen retrieval by boiling in sodium citrate buffer (pH6.0) for 15 min, Block endogenous peroxidase by 3% hydrogen peroxide for 20 minutes, Blocking buffer (normal goat serum) at 37°C for 30 min, Antibody incubation with (CD73) Monoclonal Antibody, Unconjugated (orb783396) at 1:25 overnight at 4°C, followed by operating according to SP Kit (Mouse) instructionsand DAB staining.

Paraformaldehyde-fixed, paraffin embedded (Human kidney), Antigen retrieval by boiling in sodium citrate buffer (pH6.0) for 15 min, Block endogenous peroxidase by 3% hydrogen peroxide for 20 minutes, Blocking buffer (normal goat serum) at 37°C for 30 min, Antibody incubation with (CD73) Monoclonal Antibody, Unconjugated (orb783396) at 1:200 overnight at 4°C, followed by operating according to SP Kit (Mouse) instructionsand DAB staining.

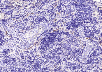
Paraformaldehyde-fixed, paraffin embedded (human tonsil), Antigen retrieval by boiling in sodium citrate buffer (pH6.0) for 15 min, Block endogenous peroxidase by 3% hydrogen peroxide for 20 minutes, Blocking buffer (normal goat serum) at 37°C for 30 min, Antibody incubation with (CD73) Monoclonal Antibody, Unconjugated (orb783396) at 1:200 overnight at 4°C, followed by operating according to SP Kit (Mouse) instructionsand DAB staining.

Sample: Lane 1: Human HeLa cell lysates, Lane 2: Human A375 cell lysates, Primary: Anti-CD73 (orb783396) at 1/1000 dilution, Secondary: IRDye800CW Goat Anti-Mouse IgG at 1/20000 dilution, Predicted band size: 63 kDa, Observed band size: 63 kDa.

Sample: Lane 1: MDA-MB-231 cell lysates, Primary: Anti-CD73 (orb783396) at 1/4000 dilution, Secondary: IRDye800CW Goat Anti-Mouse IgG at 1/20000 dilution, Predicted band size: 63 kD, Observed band size: 70 kD.

Sample: Lane 1: WiDr cell lysates, Primary: Anti-CD73 (orb783396) at 1/2000 dilution, Secondary: IRDye800CW Goat Anti-Mouse IgG at 1/20000 dilution, Predicted band size: 63 kD, Observed band size: 72 kD.
Quick Database Links
UniProt Details
−Documents Download
Request a Document
Protocol Information
CD73 Mouse Monoclonal Antibody (orb783396)
Participating in our Biorbyt product reviews program enables you to support fellow scientists by sharing your firsthand experience with our products.
Login to Submit a Review

























