You have no items in your shopping cart.
CSF2RA Antibody
Description
Research Area
Images & Validation
−| Tested Applications | ELISA, IF, IHC |
|---|---|
| Dilution Range | IHC-P:1:20-200, IF:1:200-500 |
| Reactivity | Human |
Key Properties
−| Host | Rabbit |
|---|---|
| Clonality | Polyclonal |
| Isotype | IgG |
| Immunogen | Recombinant Human Granulocyte-macrophage colony-stimulating factor receptor subunit alpha protein (23-320AA) |
| Target | CSF2RA |
| Purification | >95%, Protein G purified |
| Conjugation | Unconjugated |
Storage & Handling
−| Storage | Maintain refrigerated at 2-8°C for up to 2 weeks. For long term storage store at -20°C in small aliquots to prevent freeze-thaw cycles. |
|---|---|
| Form/Appearance | Liquid |
| Buffer/Preservatives | Preservative: 0.03% Proclin 300. Constituents: 50% Glycerol |
| Expiration Date | 12 months from date of receipt. |
| Disclaimer | For research use only |
Alternative Names
−Similar Products
−CD116 rabbit pAb Antibody [orb766867]
ELISA, IF, IHC, WB
Human, Mouse, Rat
Polyclonal
Unconjugated
50 μl, 100 μlCSF2Ra/GM-CSFRa/CD116 Antibody [orb1806202]
ELISA, FA, FACS, In vivo
Human, Monkey
Monoclonal
Unconjugated
100 μg, 1 mgGM-CSFR alpha Rabbit Polyclonal Antibody [orb10732]
IF, IHC-Fr, IHC-P
Rat
Human, Mouse
Rabbit
Polyclonal
Unconjugated
50 μl, 100 μl, 200 μl

Quality Guarantee
Explore bioreagents carefree to elevate your research. All our products are rigorously tested for performance. If a product does not perform as described on its datasheet, our scientific support team will provide expert troubleshooting, a prompt replacement, or a refund. For full details, please see our Terms & Conditions and Buying Guide. Contact us at support@biorbyt.com.

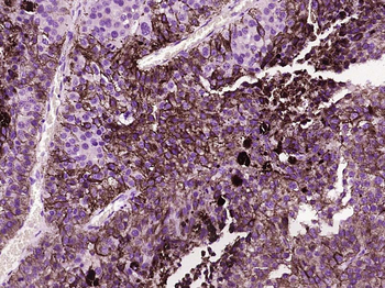
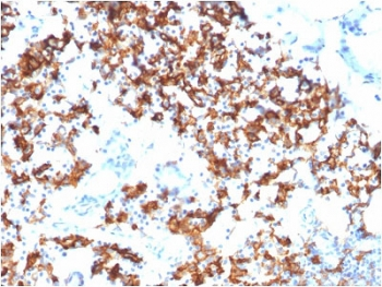
Immunohistochemistry of paraffin-embedded human skin tissue using CSF2RA antibody

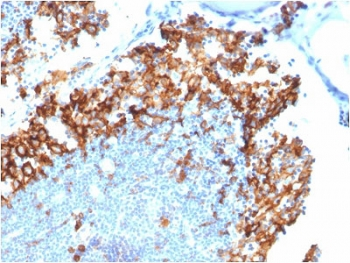
Immunofluorescence staining of HepG2 cells using CSF2RA antibody

Immunohistochemistry of paraffin-embedded human testis tissue using CSF2RA antibody
Quick Database Links
UniProt Details
−Documents Download
Request a Document
Protocol Information
CSF2RA Antibody (orb351945)
Participating in our Biorbyt product reviews program enables you to support fellow scientists by sharing your firsthand experience with our products.
Login to Submit a Review















