You have no items in your shopping cart.
CX3CL1 Antibody
Description
Research Area
Images & Validation
−| Tested Applications | ELISA, IHC, WB |
|---|---|
| Dilution range | WB: 1:500-1:2000; IHC: 1:20-1:200 |
| Reactivity | Human, Mouse, Rat |
Key Properties
−| Antibody Type | Primary Antibody |
|---|---|
| Host | Rabbit |
| Clonality | Polyclonal |
| Isotype | IgG |
| Immunogen | chemokine(C-X3-C motif) ligand 1 |
| Target | CX3CL1 |
| Molecular Weight | 90-100 kDa |
| Purity | ≥95% as determined by SDS-PAGE |
| Purification | Immunogen affinity purified |
| Conjugation | Unconjugated |
Storage & Handling
−| Storage | Maintain refrigerated at 2-8°C for up to 2 weeks. For long term storage store at -20°C in small aliquots to prevent freeze-thaw cycles. |
|---|---|
| Form/Appearance | liquid |
| Disclaimer | For research use only |
Alternative Names
−Similar Products
−Fractalkine rabbit pAb Antibody [orb766959]
ELISA, IF, IHC, WB
Human, Mouse, Rat
Polyclonal
Unconjugated
100 μlHuman Chemokine C-X3-C-Motif Ligand 1 (CX3CL1) ELISA Kit [orb775286]
Human
0.16-10 ng/mL
0.066 ng/mL
96 T, 48 TRat Chemokine C-X3-C-Motif Ligand 1 (CX3CL1) ELISA Kit [orb775287]
Rat
0.16-10 ng/mL
0.053 ng/mL
96 T, 48 TMouse Chemokine C-X3-C-Motif Ligand 1 (CX3CL1) ELISA Kit [orb774888]
Mouse
0.16-10 ng/mL
0.055 ng/mL
96 T, 48 T

Quality Guarantee
Explore bioreagents carefree to elevate your research. All our products are rigorously tested for performance. If a product does not perform as described on its datasheet, our scientific support team will provide expert troubleshooting, a prompt replacement, or a refund. For full details, please see our Terms & Conditions and Buying Guide. Contact us at support@biorbyt.com.

PC-3 cells were subjected to SDS PAGE followed by western blot with orb626134 (CX3CL1 antibody) at dilution of 1:1000.

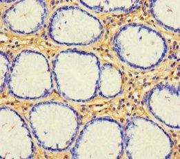
Immunohistochemistry of paraffin-embedded human small intestine slide using orb626134 (CX3CL1 Antibody) at dilution of 1:50.
Quick Database Links
UniProt Details
−Documents Download
Request a Document
Protocol Information
CX3CL1 Antibody (orb626134)
Participating in our Biorbyt product reviews program enables you to support fellow scientists by sharing your firsthand experience with our products.
Login to Submit a Review








