You have no items in your shopping cart.
CXCL8 Antibody
SKU: orb240659
Description
Research Area
Epigenetics
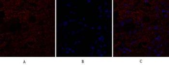
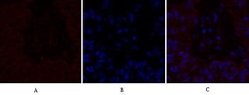
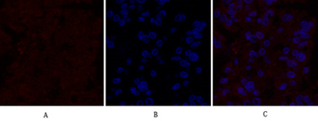
Images & Validation
−
| Tested Applications | ELISA |
|---|---|
| Reactivity | Gallus |
Key Properties
−| Host | Rabbit |
|---|---|
| Clonality | Polyclonal |
| Isotype | IgG |
| Immunogen | Recombinant Gallus gallus Interleukin-8 protein (17-102AA) |
| Target | CXCL8 |
| Purification | >95%, Protein G purified |
| Conjugation | Unconjugated |
Storage & Handling
−| Storage | Maintain refrigerated at 2-8°C for up to 2 weeks. For long term storage store at -20°C in small aliquots to prevent freeze-thaw cycles. |
|---|---|
| Form/Appearance | Liquid |
| Buffer/Preservatives | Preservative: 0.03% Proclin 300. Constituents: 50% Glycerol |
| Expiration Date | 12 months from date of receipt. |
| Disclaimer | For research use only |
Alternative Names
−anti-9E3 antibody, anti-C-X-C motif chemokine 8 antibody, anti-CEF-4 antibody
Similar Products
−IL-8/CXCL8 Rabbit Polyclonal Antibody [orb10915]
ELISA, WB
Bovine, Porcine, Rabbit, Sheep
Human
Rabbit
Polyclonal
Unconjugated
50 μl, 100 μl, 200 μl

Quality Guarantee
Explore bioreagents carefree to elevate your research. All our products are rigorously tested for performance. If a product does not perform as described on its datasheet, our scientific support team will provide expert troubleshooting, a prompt replacement, or a refund. For full details, please see our Terms & Conditions and Buying Guide. Contact us at support@biorbyt.com.
Quick Database Links
Gene Symbol
CXCL8
UniProt
UniProt Details
− No UniProt data available
Documents Download
Datasheet
Product Information
Request a Document
CXCL8 Antibody (orb240659)
Based on 0 reviews
Participating in our Biorbyt product reviews program enables you to support fellow scientists by sharing your firsthand experience with our products.
Login to Submit a Review


























