You have no items in your shopping cart.
DDX1 Antibody
Description
Research Area
Images & Validation
−| Tested Applications | ELISA, IF, IHC, IP, WB |
|---|---|
| Dilution range | WB: 1:500 - 1:2000; IHC: 1:50 - 1:200; IF: 1:10 - 1:100; IP : 1:20 - 1:50 |
| Reactivity | Human, Mouse, Rat |
Key Properties
−| Antibody Type | Primary Antibody |
|---|---|
| Host | Rabbit |
| Clonality | Polyclonal |
| Isotype | IgG |
| Immunogen | DEAD (Asp-Glu-Ala-Asp) box polypeptide 1 |
| Target | DDX1 |
| Molecular Weight | 100 kDa |
| Purity | ≥95% as determined by SDS-PAGE |
| Purification | Immunogen affinity purified |
| Conjugation | Unconjugated |
Storage & Handling
−| Storage | Maintain refrigerated at 2-8°C for up to 2 weeks. For long term storage store at -20°C in small aliquots to prevent freeze-thaw cycles. |
|---|---|
| Form/Appearance | liquid |
| Disclaimer | For research use only |
Similar Products
−DDX1 Picoband® Mouse Monoclonal Antibody [orb738414]
FC, ICC, IF, IHC, WB
Human, Mouse, Rat
Mouse
Monoclonal
Unconjugated
100 μgDDX1 Picoband® Mouse Monoclonal Antibody [orb738416]
FC, IHC, WB
Human, Mouse, Rat
Mouse
Monoclonal
Unconjugated
100 μgDDX1 Rabbit Polyclonal Antibody [orb614109]
ELISA, FC, ICC, IF, IHC, IP, WB
Human, Mouse, Rat
Rabbit
Polyclonal
Unconjugated
100 μg

Quality Guarantee
Explore bioreagents carefree to elevate your research. All our products are rigorously tested for performance. If a product does not perform as described on its datasheet, our scientific support team will provide expert troubleshooting, a prompt replacement, or a refund. For full details, please see our Terms & Conditions and Buying Guide. Contact us at support@biorbyt.com.

IP Result of anti-DDX1 (IP: orb626306, 3 ug; Detection: orb626306 1:1000) with PC-3 cells lysate 5000 ug.

HeLa cells were subjected to SDS PAGE followed by western blot with orb626306 (DDX1 antibody) at dilution of 1:1000.

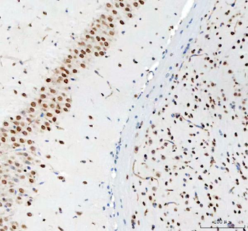
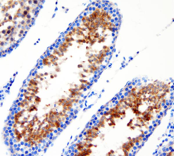
Immunohistochemistry of paraffin-embedded human leiomyoma using orb626306 (DDX1 antibody) at dilution of 1:50.
Quick Database Links
UniProt Details
−Documents Download
Request a Document
Protocol Information
DDX1 Antibody (orb626306)
Participating in our Biorbyt product reviews program enables you to support fellow scientists by sharing your firsthand experience with our products.
Login to Submit a Review











































