You have no items in your shopping cart.
EPHA1 Antibody
Description
Research Area
Images & Validation
−| Tested Applications | ELISA, IF, IHC, WB |
|---|---|
| Dilution range | WB:1:1000-5000, IHC-P:1:20-200, IF:1:50-200 |
| Reactivity | Human, Mouse |
Key Properties
−| Host | Rabbit |
|---|---|
| Clonality | Polyclonal |
| Isotype | IgG |
| Immunogen | Recombinant Human Ephrin type-A receptor 1 protein (296-414AA) |
| Target | EPHA1 |
| Purification | >95%, Protein G purified |
| Conjugation | Unconjugated |
Storage & Handling
−| Storage | Maintain refrigerated at 2-8°C for up to 2 weeks. For long term storage store at -20°C in small aliquots to prevent freeze-thaw cycles. |
|---|---|
| Form/Appearance | Liquid |
| Buffer/Preservatives | Preservative: 0.03% Proclin 300. Constituents: 50% Glycerol |
| Disclaimer | For research use only |
Alternative Names
−Similar Products
−EphA1 rabbit pAb Antibody [orb765145]
ELISA, IF, IHC, WB
Human, Mouse, Rat
Polyclonal
Unconjugated
100 μl, 50 μlHuman Ephrin Type A Receptor 1 (EPHA1) ELISA Kit [orb775763]
Human
0.32-20 ng/mL
0.121 ng/mL
96 T, 48 T

Quality Guarantee
Explore bioreagents carefree to elevate your research. All our products are rigorously tested for performance. If a product does not perform as described on its datasheet, our scientific support team will provide expert troubleshooting, a prompt replacement, or a refund. For full details, please see our Terms & Conditions and Buying Guide. Contact us at support@biorbyt.com.

Western blot analysis of Mouse brain tissue using EPHA1 antibody

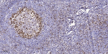
Immunohistochemical staining of human gastric cancer using EPHA1 antibody

Immunofluorescence analysis of A549 cells using EPHA1 antibody

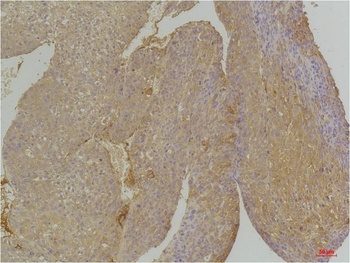
Immunohistochemical staining of human liver cancer using EPHA1 antibody
Quick Database Links
UniProt Details
−Documents Download
Request a Document
Protocol Information
EPHA1 Antibody (orb45830)
Participating in our Biorbyt product reviews program enables you to support fellow scientists by sharing your firsthand experience with our products.
Login to Submit a Review













