You have no items in your shopping cart.
Estrogen Receptor alpha Antibody
Description
Images & Validation
−| Tested Applications | FACS, IHC-P |
|---|---|
| Dilution Range | Flow cytometry: 1-2ug/10^6 cells in 0.1ml,Immunohistochemistry (FFPE): 1-2ug/ml,Western blot: 2-4ug/ml |
| Reactivity | Human |
| Application Notes |
Key Properties
−| Antibody Type | Primary Antibody |
|---|---|
| Host | Mouse |
| Clonality | Monoclonal |
| Isotype | Mouse IgG2b, kappa |
| Clone No. | ESR1/3559 |
| Immunogen | A recombinant human partial protein (amino acids 129-312) was used as the immunogen for this Estrogen Receptor alpha antibody. |
| Purification | Protein G affinity chromatography |
| Conjugation | Unconjugated |
Storage & Handling
−| Storage | Maintain refrigerated at 2-8°C for up to 2 weeks. For long term storage store at -20°C in small aliquots to prevent freeze-thaw cycles. |
|---|---|
| Buffer/Preservatives | 1 mg/ml in 1X PBS; rAlbumin free, sodium azide free |
| Expiration Date | 12 months from date of receipt. |
| Disclaimer | For research use only |
Similar Products
−Phospho-Estrogen Receptor alpha (Ser118) Recombinant Rabbit Monoclonal Antibody [orb559110]
FC, ICC, IF, IHC-Fr, IHC-P, WB
Canine, Rabbit, Rat
Human, Mouse, Rat
Rabbit
Recombinant
Unconjugated
50 μl, 100 μlPGC1 alpha + beta Rabbit Polyclonal Antibody [orb100963]
FC, IF, IHC-Fr, IHC-P, WB
Bovine, Canine, Equine, Mouse, Porcine, Rabbit
Human, Rat
Rabbit
Polyclonal
Unconjugated
50 μl, 100 μl, 200 μlEstrogen Receptor alpha + beta Rabbit Polyclonal Antibody [orb10615]
FC, ICC, IF, IHC-Fr, IHC-P, WB
Mouse, Porcine
Human, Rat
Rabbit
Polyclonal
Unconjugated
50 μl, 100 μl, 200 μlEstrogen Receptor beta Antibody [orb248344]
FACS, IF, IHC-P, WB
Human, Mouse, Rat
Mouse
Monoclonal
Unconjugated
100 μg, 20 μg

Quality Guarantee
Explore bioreagents carefree to elevate your research. All our products are rigorously tested for performance. If a product does not perform as described on its datasheet, our scientific support team will provide expert troubleshooting, a prompt replacement, or a refund. For full details, please see our Terms & Conditions and Buying Guide. Contact us at support@biorbyt.com.

Flow cytometry testing of permeabilized human MCF7 cells with Estrogen Receptor alpha antibody (clone ESR1/3559); Red=isotype control, Blue= Estrogen Receptor alpha antibody.

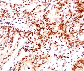
IHC staining of FFPE human breast carcinoma with Estrogen Receptor alpha antibody (clone ESR1/3559). HIER: boil tissue sections in pH9 10mM Tris with 1mM EDTA for 10-20 min and allow to cool before testing.

Analysis of HuProt (TM) microarray containing more than 19000 full-length human proteins using Estrogen Receptor alpha antibody (clone ESR1/3559). These results demonstrate the foremost specificity of the ESR1/3559 mAb. Z- and S- score: The Z-score represents the strength of a signal that an antibody (in combination with a fluorescently-tagged anti-IgG secondary Ab) produces when binding to a particular protein on the HuProt (TM) array. Z-scores are described in units of standard deviations (SD's) above the mean value of all signals generated on that array. If the targets on the HuProt (TM) are arranged in descending order of the Z-score, the S-score is the difference (also in units of SD's) between the Z-scores. The S-score therefore represents the relative target specificity of an Ab to its intended target.

SDS-PAGE analysis of purified, BSA-free Estrogen Receptor alpha antibody (clone ESR1/3559) as confirmation of integrity and purity.
Quick Database Links
UniProt Details
−Documents Download
Request a Document
Protocol Information
Estrogen Receptor alpha Antibody (orb2643218)
Participating in our Biorbyt product reviews program enables you to support fellow scientists by sharing your firsthand experience with our products.
Login to Submit a Review



































