You have no items in your shopping cart.
GAB1 Antibody
Description
Images & Validation
−| Tested Applications | IF, IHC, WB |
|---|---|
| Reactivity | Human, Mouse, Rat |
| Application Notes |
Key Properties
−| Antibody Type | Primary Antibody |
|---|---|
| Host | Rabbit |
| Clonality | Polyclonal |
| Isotype | IgG |
| Immunogen | Recombinant fusion protein containing a sequence corresponding to amino acids 485-724 of human GAB1 (NP_997006.1). |
| Target | GAB1 |
| Molecular Weight | Observed: 76kDa |
| Purification | Affinity purification |
| Conjugation | Unconjugated |
Storage & Handling
−| Storage | Maintain refrigerated at 2-8°C for up to 2 weeks. For long term storage store at -20°C in small aliquots to prevent freeze-thaw cycles. |
|---|---|
| Buffer/Preservatives | Liquid |
| Concentration | batch dependent |
| Disclaimer | For research use only |
Alternative Names
−Similar Products
−Gab 1 (phospho Tyr659) rabbit pAb [orb768297]
ELISA, IF, IHC-P, WB
Human, Mouse, Rat
Polyclonal
Unconjugated
50 μl, 100 μlGab 1 (phospho Tyr627) rabbit pAb [orb764193]
ELISA, WB
Human, Monkey, Mouse
Polyclonal
Unconjugated
100 μl, 50 μl

Quality Guarantee
Explore bioreagents carefree to elevate your research. All our products are rigorously tested for performance. If a product does not perform as described on its datasheet, our scientific support team will provide expert troubleshooting, a prompt replacement, or a refund. For full details, please see our Terms & Conditions and Buying Guide. Contact us at support@biorbyt.com.

Western blot analysis of extracts of various cell lines, using GAB1 antibody (orb1257137) at 1:500 dilution. Secondary antibody: HRP Goat Anti-Rabbit IgG (H+L) at 1:10000 dilution. Lysates/proteins: 25 ug per lane. Blocking buffer: 3% nonfat dry milk in TBST. Detection: ECL Basic Kit. Exposure time: 80s.

Immunohistochemistry of paraffin-embedded rat brain using GAB1 antibody (orb1257137) at dilution of 1:100 (40x lens).

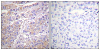
Immunohistochemistry of paraffin-embedded human colon carcinoma using GAB1 antibody (orb1257137) at dilution of 1:100 (40x lens).

Immunohistochemistry of paraffin-embedded human gastric cancer using GAB1 antibody (orb1257137) at dilution of 1:100 (40x lens).

Immunohistochemistry of paraffin-embedded mouse spinal cord using GAB1 antibody (orb1257137) at dilution of 1:100 (40x lens).

Immunofluorescence analysis of MCF-7 cells using GAB1 antibody (orb1257137). Blue: DAPI for nuclear staining.
Quick Database Links
UniProt Details
−Documents Download
Request a Document
Protocol Information
GAB1 Antibody (orb1257137)
Participating in our Biorbyt product reviews program enables you to support fellow scientists by sharing your firsthand experience with our products.
Login to Submit a Review


















