You have no items in your shopping cart.
GAPDH Rabbit Polyclonal Antibody
Description
Images & Validation
−| Tested Applications | IF, IHC, WB |
|---|---|
| Dilution Range | Western Blot 1:5000-1:10000, Immunofluorescence 1:200-1:500, Immunohistochemistry (Paraffin) 1:400-1:600 |
| Reactivity | Human, Mouse, Rat |
Key Properties
−| Antibody Type | Primary Antibody |
|---|---|
| Host | Rabbit |
| Clonality | Polyclonal |
| Isotype | Rabbit-IgG |
| Immunogen | Synthetic peptide / encompassing a sequence within the C-terminus region. |
| Target | GAPDH |
| Conjugation | Unconjugated |
Storage & Handling
−| Storage | Maintain refrigerated at 2-8°C for up to 2 weeks. For long term storage store at -20°C in small aliquots to prevent freeze-thaw cycles. |
|---|---|
| Buffer/Preservatives | 100mM Tris Glycine, 1% rAlbumin, 20% Glycerol (pH7). 0.025% ProClin 300 was added as a preservative |
| Expiration Date | 12 months from date of receipt. |
| Disclaimer | For research use only |
Similar Products
−GAPDH Rabbit Polyclonal Antibody (Loading Control) [orb500826]
ELISA, IF, IHC-Fr, IHC-P, WB
Hamster
Human, Mouse, Rat
Rabbit
Polyclonal
Unconjugated
1 ml, 100 μl, 500 μl, 200 μlglyceraldehyde-3-phosphate dehydrogenase Antibody [orb555879]
ICC, IHC-P, IP, WB
Bacteria, Bovine, Canine, Drosophila, E. coli, Fish, Gallus, Hamster, Human, Insect, Mammal, Monkey, Mouse, Other, Plant, Porcine, Rabbit, Rat, Zebrafish
Rabbit
Polyclonal
Unconjugated
100 μlGAPDH Rabbit Polyclonal Antibody [orb577464]
IHC, WB
Bovine, Canine, Equine, Goat, Guinea pig, Rabbit, Rat, Sheep
Human, Mouse
Rabbit
Polyclonal
Unconjugated
100 μlGAPDH Rabbit Polyclonal Antibody [orb577465]
WB
Canine, Equine, Guinea pig, Rabbit
Human, Mouse, Rat
Rabbit
Polyclonal
Unconjugated
100 μlGAPDH Rabbit Polyclonal Antibody [orb389477]
FC, ICC, IF, IHC, WB
Gallus, Human, Monkey, Mouse, Rat, Zebrafish
Rabbit
Polyclonal
Unconjugated
100 μg

Quality Guarantee
Explore bioreagents carefree to elevate your research. All our products are rigorously tested for performance. If a product does not perform as described on its datasheet, our scientific support team will provide expert troubleshooting, a prompt replacement, or a refund. For full details, please see our Terms & Conditions and Buying Guide. Contact us at support@biorbyt.com.

Anti-GAPDH antibody - 1/5000 dilution, Lysates at 20 µg per lane. This blot was produced using a 10% SDS-PAGE. Nitrocellulose membrane was then blocked for an hour before being incubated with orb1294414 overnight at 4°C.

Anti-GAPDH antibody - 1/5000 dilution, Lysates at 20 µg per lane. This blot was produced using a 10% SDS-PAGE. Nitrocellulose membrane was then blocked for an hour before being incubated with orb1294414 overnight at 4°C.

Immunofluorescence: cells were fixed with 4% paraformaldehyde for 10 min at RT, permeabilized with 0.1% NP-40 for 10 min at RT then blocked with 5% BSA for 30 min at room temperature. Cells were stained with orb1294414 anti-GAPDH antibody (red) at 1:200 and 4°C.

Immunofluorescence: cells were fixed with 4% paraformaldehyde for 10 min at RT, permeabilized with 0.1% NP-40 for 10 min at RT then blocked with 5% BSA for 30 min at room temperature. Cells were stained with orb1294414 anti-GAPDH antibody (red) at 1:200 and 4°C.

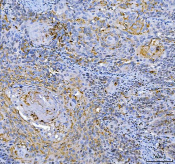
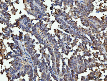
Immunohistochemical analysis of paraffin embedded mouse testis labeling GAPDH with orb1294414 at 1/400.
Quick Database Links
Documents Download
Request a Document
Protocol Information
GAPDH Rabbit Polyclonal Antibody (orb1294414)
Participating in our Biorbyt product reviews program enables you to support fellow scientists by sharing your firsthand experience with our products.
Login to Submit a Review












































