You have no items in your shopping cart.
GRB2 Rabbit Polyclonal Antibody
Description
Research Area
Images & Validation
−| Tested Applications | WB |
|---|---|
| Reactivity | Human, Mouse |
| Predicted Reactivity | Bovine, Canine, Equine, Guinea pig, Rabbit, Rat, Zebrafish |
Key Properties
−| Host | Rabbit |
|---|---|
| Clonality | Polyclonal |
| Target | GRB2 |
| Protein Sequence | Synthetic peptide located within the following region: AKYDFKATADDELSFKRGDILKVLNEECDQNWYKAELNGKDGFIPKNYIE |
| Molecular Weight | 24kDa |
| Purification | Affinity Purified |
| Conjugation | Unconjugated |
Storage & Handling
−| Storage | Maintain refrigerated at 2-8°C for up to 2 weeks. For long term storage store at -20°C in small aliquots to prevent freeze-thaw cycles. |
|---|---|
| Buffer/Preservatives | Liquid. Purified antibody supplied in 1x PBS buffer with 0.09% (w/v) sodium azide and 2% sucrose. |
| Concentration | 0.5 mg/ml |
| Expiration Date | 12 months from date of receipt. |
| Disclaimer | For research use only |
Alternative Names
−Similar Products
−SH3GL2 Rabbit Polyclonal Antibody [orb865464]
ELISA, FC, ICC, IF, IHC, WB
Human, Mouse, Rat
Rabbit
Polyclonal
Unconjugated
100 μgGab 1 (phospho Tyr659) rabbit pAb Antibody [orb768297]
ELISA, IF, IHC, WB
Human, Mouse, Rat
Polyclonal
Unconjugated
100 μl, 50 μlGab 1 (phospho Tyr627) rabbit pAb Antibody [orb764193]
ELISA, WB
Human, Monkey, Mouse
Polyclonal
Unconjugated
100 μl, 50 μl

Quality Guarantee
Explore bioreagents carefree to elevate your research. All our products are rigorously tested for performance. If a product does not perform as described on its datasheet, our scientific support team will provide expert troubleshooting, a prompt replacement, or a refund. For full details, please see our Terms & Conditions and Buying Guide. Contact us at support@biorbyt.com.

Sample Type: 2. mouse brain extracts (80 ug), Primary Antibody dilution: 2 ug/ml, Secondary Antibody: IRDye 800CW goat anti-rabbit, Secondary Antibody dilution: 1:20000.

GRB2 antibody - N-terminal region (orb584010) validated by WB using 1. and 2. Human Cystic Fibrosis Bronchial Epithelial Cells (35 ug) Primary dilution: 1:500, Secondary Anitbody: goat anti-rabbit-HRPSecondary dilution: 1:5000.

GRB2 antibody - N-terminal region (orb584010) validated by WB using 721_B cell Lysate at 1 ug/ml. GRB2 is supported by BioGPS gene expression data to be expressed in 721_B.

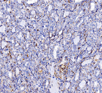
Sample Tissue: Mouse Kidney, Antibody dilution: 1 ug/ml.

Rabbit Anti-GRB2 Antibody, Catalog Number: orb584010, Formalin Fixed Paraffin Embedded Tissue: Human Lymph Node Tissue, Observed Staining: Cytoplasm, Primary Antibody Concentration: 1:100, Other Working Concentrations: N/A, Secondary Antibody: Donkey anti-Rabbit-Cy3, Secondary Antibody Concentration: 1:200, Magnification: 20X, Exposure Time: 0.5-2.0 sec.
Documents Download
Request a Document
GRB2 Rabbit Polyclonal Antibody (orb584010)
Participating in our Biorbyt product reviews program enables you to support fellow scientists by sharing your firsthand experience with our products.
Login to Submit a Review




















