You have no items in your shopping cart.
Featured
Description
Images & Validation
−Item 1 of 2
| Tested Applications | ELISA, IP, WB |
|---|---|
| Dilution Range | Western Blot: 1/1000 - 1/3000;. IP: 1:300 Not yet tested in other applications. |
| Reactivity | All |
Key Properties
−| Clonality | Polyclonal |
|---|---|
| Isotype | IgG |
| Immunogen | HA synthetic peptide conjugated to KLH. |
| Molecular Weight | 15 |
| Purification | The antibody was affinity-purified from rabbit antiserum by affinity-chromatography using epitope-specific immunogen. |
| Conjugation | Unconjugated |
Storage & Handling
−| Storage | Maintain refrigerated at 2-8°C for up to 2 weeks. For long term storage store at -20°C in small aliquots to prevent freeze-thaw cycles. |
|---|---|
| Buffer/Preservatives | PBS with 0.02% sodium azide and 50% glycerol pH 7.4. |
| Concentration | 1 mg/ml |
| Expiration Date | 12 months from date of receipt. |
| Disclaimer | For research use only |
Alternative Names
−Anti-HA epitope tag antibody, anti-hemagglutinin antibody
Similar Products
−HA Tag Antibody [orb1787856]
WB
Rabbit
Polyclonal
Unconjugated

Quality Guarantee
Explore bioreagents carefree to elevate your research. All our products are rigorously tested for performance. If a product does not perform as described on its datasheet, our scientific support team will provide expert troubleshooting, a prompt replacement, or a refund. For full details, please see our Terms & Conditions and Buying Guide. Contact us at support@biorbyt.com.

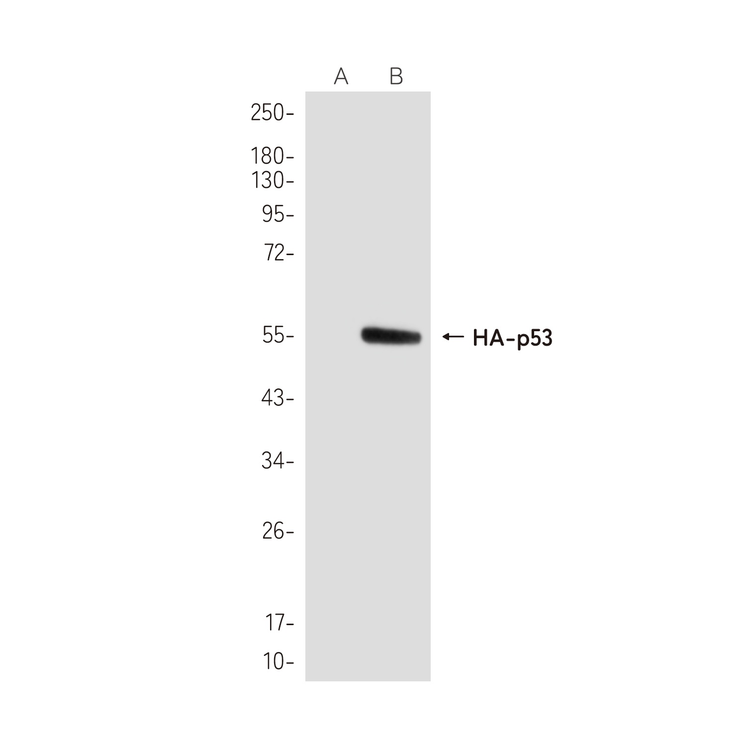
IP analysis of HA-tag Polyclonal Antibody.

Western Blot analysis using HA-tag Polyclonal Antibody against HEK293 cells transfected with vector overexpressing HA tag was diluted at 1:20000.
Documents Download
Datasheet
Product Information
Request a Document
Protocol Information
WB
Western Blot (IB, immunoblot)
ELISA
Enzyme-linked Immunosorbent Assay (EIA)
IP
Immunoprecipitation
HA-tag rabbit pAb Antibody (orb763952)
Based on 0 reviews
Participating in our Biorbyt product reviews program enables you to support fellow scientists by sharing your firsthand experience with our products.
Login to Submit a Review







