You have no items in your shopping cart.
HLA-G Antibody
Description
Research Area
Images & Validation
−| Tested Applications | FC, IHC-P, WB |
|---|---|
| Reactivity | Human |
| Application Notes |
Key Properties
−| Antibody Type | Primary Antibody |
|---|---|
| Host | Rabbit |
| Clonality | Polyclonal |
| Isotype | Rabbit Ig |
| Immunogen | This HLA-G antibody is generated from rabbits immunized with a KLH conjugated synthetic peptide between 62-89 amino acids from the Central region of human HLA-G. |
| Target | HLA-G |
| Molecular Weight | 38 kDa |
| Purification | This antibody is purified through a protein A column, followed by peptide affinity purification. |
| Conjugation | Unconjugated |
Storage & Handling
−| Storage | Maintain refrigerated at 2-8°C for up to 2 weeks. For long term storage store at -20°C in small aliquots to prevent freeze-thaw cycles. |
|---|---|
| Form/Appearance | Liquid |
| Buffer/Preservatives | Supplied in PBS with 0.09% (W/V) sodium azide. |
| Concentration | batch dependent |
| Expiration Date | 12 months from date of receipt. |
| Disclaimer | For research use only |
Alternative Names
−Similar Products
−Human Major Histocompatibility Complex Class I G (MHCG) ELISA Kit [orb776093]
Human
0.38-24 ng/mL
0.17 ng/mL
48 T, 96 THLA-G Antibody [orb2309990]
IHC, WB
Human
Mouse
Monoclonal
Unconjugated
20 μg, 100 μg (without BSA and Azide), 100 μg

Quality Guarantee
Explore bioreagents carefree to elevate your research. All our products are rigorously tested for performance. If a product does not perform as described on its datasheet, our scientific support team will provide expert troubleshooting, a prompt replacement, or a refund. For full details, please see our Terms & Conditions and Buying Guide. Contact us at support@biorbyt.com.

Western Blot at 1:2000 dilution Lane 1: Jurkat whole cell lysate Lane 2: Raji whole cell lysate Lane 3: Ramos whole cell lysate Lysates/proteins at 20 ug per lane.

Western blot analysis of lysate from human placenta tissue lysate, using HLA-G Antibody) at 1:1000 at each lane.

Western blot analysis of HLA-G Antibody in NCI-H460 cell line lysates (35 ug/lane)

Western blot analysis of HLA-G using rabbit polyclonal HLA-G Antibody using 293 cell lysates (2 ug/lane) either nontransfected (Lane 1) or transiently transfected (Lane 2) with the HLA-G gene.

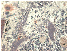
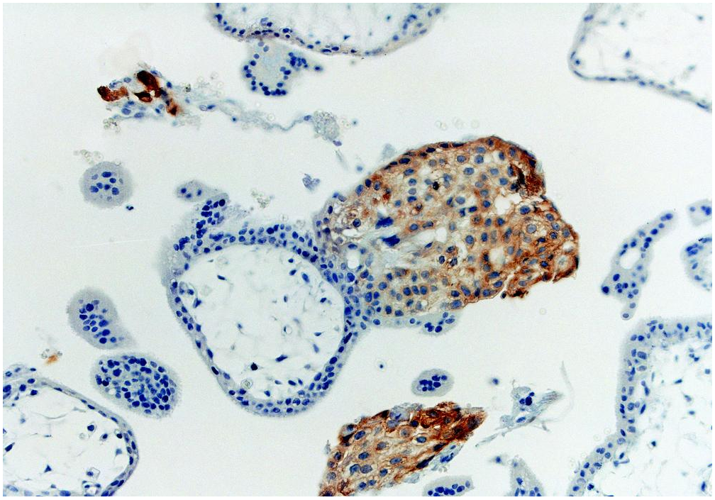
Formalin-fixed and paraffin-embedded human lung carcinoma reacted with HLA-G Antibody, which was peroxidase-conjugated to the secondary antibody, followed by DAB staining.

Flow cytometry analysis of NCI-H460 cells (bottom histogram) compared to a negative control cell (top histogram). FITC-conjugated goat-anti-rabbit secondary antibodies were used for the analysis.
Documents Download
Request a Document
Protocol Information
HLA-G Antibody (orb1262443)
Participating in our Biorbyt product reviews program enables you to support fellow scientists by sharing your firsthand experience with our products.
Login to Submit a Review













