You have no items in your shopping cart.
HSP90 K294 Antibody
Description
Images & Validation
−| Tested Applications | ELISA, IHC, WB |
|---|---|
| Dilution Range | ELISA: 1:2,500 - 1:10,000, IHC: 5-10 µg/ml, WB: 1:500 - 1:2,500 |
| Reactivity | Human |
| Application Notes |
Key Properties
−| Antibody Type | Primary Antibody |
|---|---|
| Host | Rabbit |
| Clonality | Polyclonal |
| Isotype | IgG |
| Immunogen | This affinity purified antibody was prepared from whole rabbit serum produced by repeated immunizations with a synthetic peptide corresponding to amino acids surrounding K294 of human Hsp90. |
| Purity | This affinity purified antibody is directed against human Hsp90 protein acetylated at K294. The product was affinity purified from monospecific antiserum by immunoaffinity chromatography using acetyl-peptide coupled to agarose beads followed by solid phase adsorption against non-acetyl peptide. While ELISA data show strong reactivity with the acetylated form of the immunizing peptide and minimal reactivity with the non-acetylated form, to date western blotting data are not definitive for acetyl K294 specificity as blots show equivalent staining of lysates from cells either treated or untreated with Trichostatin A (an HDAC inhibitor). A BLAST analysis was used to suggest cross-reactivity with Hsp90 from human, mouse, rat, monkey, chicken and Drosophila based on 100% homology with the immunizing sequence. Reactivity of this antibody with Hsp90 from other species is unknown. |
| Conjugation | Unconjugated |
Storage & Handling
−| Storage | Store vial at -20° C prior to opening. Aliquot contents and freeze at -20° C or below for extended storage. Avoid cycles of freezing and thawing. Centrifuge product if not completely clear after standing at room temperature. This product is stable for several weeks at 4° C as an undiluted liquid. Dilute only prior to immediate use. |
|---|---|
| Form/Appearance | Liquid (sterile filtered) |
| Buffer/Preservatives | Preservative: 0.01% (w/v) Sodium Azide. Stabilizer: None; Buffer: 0.02 M Potassium Phosphate, 0.15 M Sodium Chloride, pH 7.2 |
| Concentration | 0.96 mg/mL |
| Expiration Date | 12 months from date of receipt. |
| Dry Ice Shipping | Please note: This product requires shipment on dry ice. A dry ice surcharge will apply. |
| Disclaimer | For research use only |
Alternative Names
−Similar Products
−
Quality Guarantee
Explore bioreagents carefree to elevate your research. All our products are rigorously tested for performance. If a product does not perform as described on its datasheet, our scientific support team will provide expert troubleshooting, a prompt replacement, or a refund. For full details, please see our Terms & Conditions and Buying Guide. Contact us at support@biorbyt.com.

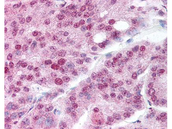
Biorbyt's affinity purified anti-Hsp90 acetyl K294 antibody was used at 20 µg/ml to detect signal in a variety of tissues including multi-human, multi-brain and multi-cancer slides. This image shows moderate nuclear and granular cytoplasmic positive staining in human prostate carcinoma at 40X. Tissue was formalin-fixed and paraffin embedded. The image shows localization of the antibody as the precipitated red signal, with a hematoxylin purple nuclear counterstain.

Western blot using Biorbyt's Affinity Purified anti-Hsp90 acetyl K294 antibody shows detection of a band at ~90 kDa corresponding to Hsp90 in an SkBr3 cell lysate. Western blotting results do not definitively demonstrate the acetyl K294 specificity of this reagent because similar staining is seen in the control lane with no treatment of TSA - Trichostatin A (an HDAC inhibitor). Immunoprecipitation with anti-Hsp90 was performed prior to western blotting with anti-Hsp90 acetyl K294.
Quick Database Links
UniProt Details
−NCBI Reference Sequences
−| Protein | NP_001017963.2 |
|---|
Documents Download
Request a Document
Protocol Information
Mo, Zhongying et al. Aberrant GlyRS-HDAC6 interaction linked to axonal transport deficits in Charcot-Marie-Tooth neuropathy Nat Commun, 9, 1007 (2018)
HSP90 K294 Antibody (orb345572)
Participating in our Biorbyt product reviews program enables you to support fellow scientists by sharing your firsthand experience with our products.
Login to Submit a Review
