You have no items in your shopping cart.
HSP90AA1 Antibody
Description
Research Area
Images & Validation
−| Tested Applications | ELISA, FC, IF, IHC, IP, WB |
|---|---|
| Dilution Range | WB: 1:1000-1:6000 IP:1:500-1:1000 IHC: 1:20-1:200 IF: 1:10-1:100 |
| Reactivity | Human, Mouse, Rat |
Key Properties
−| Antibody Type | Primary Antibody |
|---|---|
| Host | Rabbit |
| Clonality | Polyclonal |
| Isotype | IgG |
| Immunogen | heat shock protein 90kDa alpha(cytosolic), class A member 1 |
| Target | HSP90AA1 |
| Molecular Weight | 90 kDa |
| Purity | ≥95% as determined by SDS-PAGE |
| Purification | Immunogen affinity purified |
| Conjugation | Unconjugated |
Storage & Handling
−| Storage | Maintain refrigerated at 2-8°C for up to 2 weeks. For long term storage store at -20°C in small aliquots to prevent freeze-thaw cycles. |
|---|---|
| Form/Appearance | liquid |
| Expiration Date | 12 months from date of receipt. |
| Disclaimer | For research use only |
Alternative Names
−Similar Products
−Hsp90 alpha Recombinant Rabbit Monoclonal Antibody [orb1499397]
ICC, IF, IHC-Fr, IHC-P, WB
Human, Mouse, Rat
Human, Mouse, Rat
Rabbit
Recombinant
Unconjugated
25 μl, 100 μl, 50 μlHsp90 alpha + beta HSP90AA1 Rabbit Monoclonal Antibody [orb547614]
FC, ICC, IF, IHC, IP, WB
Human, Mouse, Rat
Rabbit
Monoclonal
Unconjugated
100 μlHsp90 alpha/HSP90AA1 Rabbit Polyclonal Antibody [orb196259]
FC, ICC, IF, IHC, WB
Human, Mouse, Rat
Rabbit
Polyclonal
Unconjugated
100 μgHsp90 alpha Mouse Monoclonal Antibody [orb763097]
FC, ICC, IF, IHC, WB
Human, Monkey, Mouse, Rat
Mouse
Monoclonal
Unconjugated
100 μg

Quality Guarantee
Explore bioreagents carefree to elevate your research. All our products are rigorously tested for performance. If a product does not perform as described on its datasheet, our scientific support team will provide expert troubleshooting, a prompt replacement, or a refund. For full details, please see our Terms & Conditions and Buying Guide. Contact us at support@biorbyt.com.

HeLa cells were subjected to SDS PAGE followed by western blot with orb627851 (HSP90 Antibody) at dilution of 1:3000.

IP Result of anti-HSP90 (IP: orb627851, 4 ug; Detection: orb627851 1:500) with K-562 cells lysate 4000 ug.

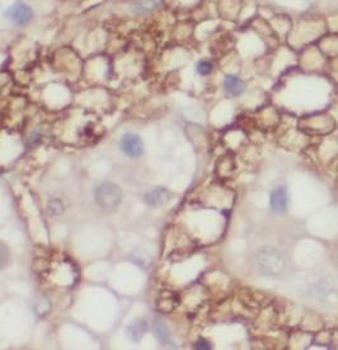
Immunohistochemistry of paraffin-embedded human liver cancer using orb627851 (HSP90 antibody) at dilution of 1:50.
Quick Database Links
UniProt Details
−Documents Download
Request a Document
Protocol Information
HSP90AA1 Antibody (orb627851)
Participating in our Biorbyt product reviews program enables you to support fellow scientists by sharing your firsthand experience with our products.
Login to Submit a Review





































