You have no items in your shopping cart.
HSPA8 Antibody
Description
Research Area
Images & Validation
−| Tested Applications | ELISA, FC, IF, IHC, WB |
|---|---|
| Dilution Range | WB:1:5000-1:32000, IHC-P:1:100-1:500, IF:1:100-1:300, FC:1:100-1:300 |
| Reactivity | Human |
Key Properties
−| Host | Mouse |
|---|---|
| Clonality | Monoclonal |
| Isotype | IgG1 |
| Clone No. | 6E4D2 |
| Immunogen | Recombinant Human Heat shock cognate 71 kDa protein (2-646AA) |
| Target | HSPA8 |
| Purification | >95%, Protein G purified |
| Conjugation | Unconjugated |
Storage & Handling
−| Storage | Maintain refrigerated at 2-8°C for up to 2 weeks. For long term storage store at -20°C in small aliquots to prevent freeze-thaw cycles. |
|---|---|
| Form/Appearance | Liquid |
| Buffer/Preservatives | Preservative: 0.03% Proclin 300. Constituents: 50% Glycerol |
| Expiration Date | 12 months from date of receipt. |
| Disclaimer | For research use only |
Alternative Names
−Similar Products
−HSPA8 Rabbit Polyclonal Antibody [orb330554]
IHC, WB
Bovine, Goat, Porcine, Sheep, Zebrafish
Human, Mouse, Rat
Rabbit
Polyclonal
Unconjugated
100 μlHSC70 Mouse Monoclonal Antibody [orb704174]
IF, IHC-Fr, IHC-P, WB
Mouse, Rat
Human, Mouse, Rat
Mouse
Monoclonal
Unconjugated
50 μl, 100 μl, 200 μl, 200 μgHsc70 Mouse Monoclonal Antibody [orb623830]
FC, ICC, IF, IHC, WB
Human, Mouse, Rat
Mouse
Monoclonal
Unconjugated
100 μgHSPA8 Antibody [orb688870]
ELISA, FC, IHC, IP, WB
Human, Mouse, Rat
Mouse
Monoclonal
Unconjugated
50 μl, 100 μlHsc70/HSPA8 Rabbit Polyclonal Antibody [orb315149]
FC, ICC, IF, IHC, IP, WB
Human, Mouse, Rat
Rabbit
Polyclonal
Unconjugated
100 μg

Quality Guarantee
Explore bioreagents carefree to elevate your research. All our products are rigorously tested for performance. If a product does not perform as described on its datasheet, our scientific support team will provide expert troubleshooting, a prompt replacement, or a refund. For full details, please see our Terms & Conditions and Buying Guide. Contact us at support@biorbyt.com.

Flow cytometric analysis of MCF-7 cells using HSPA8 antibody

Western blot analysis of Human Colon Carcinoma Tissue using HSPA8 antibody

Western blot analysis of Hela whole cell lysate using HSPA8 antibody

Western blot analysis of Hela whole cell lysate using HSPA8 antibody

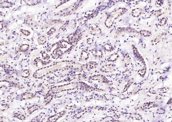
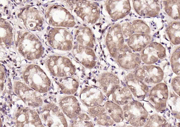
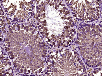
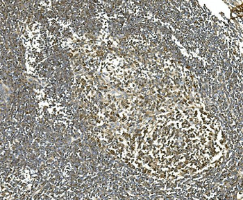
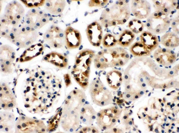
Immunohistochemical staining of human kidney tissue using HSPA8 antibody

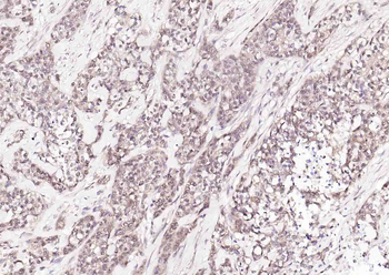
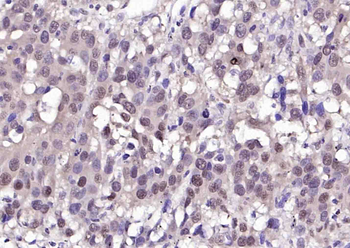
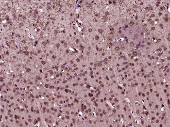
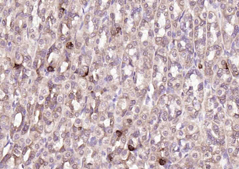
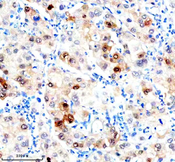
Immunohistochemical staining of human prostate cancer using HSPA8 antibody

Immunofluorescence analysis of Hela cells using HSPA8 antibody

Immunofluorescence analysis of MCF-7 cells using HSPA8 antibody

Immunofluorescence analysis of PC-3 cells using HSPA8 antibody
Quick Database Links
UniProt Details
−Documents Download
Request a Document
Protocol Information
HSPA8 Antibody (orb688871)
Participating in our Biorbyt product reviews program enables you to support fellow scientists by sharing your firsthand experience with our products.
Login to Submit a Review
















































