You have no items in your shopping cart.
IL6 Antibody
Description
Research Area
Images & Validation
−| Tested Applications | ELISA, NeA, WB |
|---|---|
| Reactivity | Human |
| Application Notes |
Key Properties
−| Antibody Type | Primary Antibody |
|---|---|
| Host | Goat |
| Clonality | Polyclonal |
| Immunogen | Produced from sera of goats pre-immunized with highly pure (>98%) recombinant hIL-6. Human IL-6 specific antibody was purified by affinity chromatography employing immobilized hIL-6 matrix. |
| Target | IL6 |
| Conjugation | Unconjugated |
Storage & Handling
−| Storage | Maintain refrigerated at 2-8°C for up to 2 weeks. For long term storage store at -20°C in small aliquots to prevent freeze-thaw cycles. |
|---|---|
| Form/Appearance | Lyophilized |
| Concentration | batch dependent |
| Expiration Date | 12 months from date of receipt. |
| Disclaimer | For research use only |
Alternative Names
−Similar Products
−IL6 Rabbit Polyclonal Antibody [orb6210]
ELISA, ICC, IF, IHC-P, WB
Rabbit
Polyclonal
Unconjugated
100 μgHGF Rabbit Polyclonal Antibody [orb579132]
IHC, WB
Bovine, Canine, Equine, Guinea pig, Mouse, Porcine, Rabbit, Rat, Sheep
Human
Rabbit
Polyclonal
Unconjugated
100 μlIL6ST/CD130 Rabbit Polyclonal Antibody [orb10914]
FC, IF, IHC-Fr, IHC-P, WB
Mouse, Rat
Human, Mouse, Rat
Rabbit
Polyclonal
Unconjugated
50 μl, 100 μl, 200 μlCEBP Beta Rabbit Polyclonal Antibody [orb10371]
FC, IF, IHC-Fr, IHC-P, WB
Bovine, Gallus, Porcine, Rabbit, Rat, Sheep
Human, Mouse
Rabbit
Polyclonal
Unconjugated
50 μl, 100 μl, 200 μl

Quality Guarantee
Explore bioreagents carefree to elevate your research. All our products are rigorously tested for performance. If a product does not perform as described on its datasheet, our scientific support team will provide expert troubleshooting, a prompt replacement, or a refund. For full details, please see our Terms & Conditions and Buying Guide. Contact us at support@biorbyt.com.

To detect Human IL-6 by sandwich ELISA (using 100 ul/well antibody solution) a concentration of 0.5 - 2.0 ug/ml of this antibody is required. This antigen affinity purified antibody, in conjunction with Biotinylated Anti-Human IL-6 (orb1272693) as a detection antibody, allows the detection of at least 0.2 - 0.4 ng/well of recombinant Human IL-6.

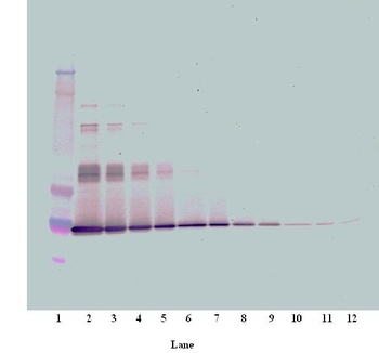
To detect Human IL-6 by Western Blot analysis this antibody can be used at a concentration of 0.1 - 0.2 ug/ml. When used in conjunction with compatible secondary reagents the detection limit for recombinant Human IL-6 is 1.5 - 3.0 ng/lane, under either reducing or non-reducing conditions.

To detect Human IL-6 by Western Blot analysis this antibody can be used at a concentration of 0.1 - 0.2 ug/ml. When used in conjunction with compatible secondary reagents the detection limit for recombinant Human IL-6 is 1.5 - 3.0 ng/lane, under either reducing or non-reducing conditions.
Documents Download
Request a Document
Protocol Information
IL6 Antibody (orb1272694)
Participating in our Biorbyt product reviews program enables you to support fellow scientists by sharing your firsthand experience with our products.
Login to Submit a Review










































