You have no items in your shopping cart.
MCP3 antibody
Description
Images & Validation
−| Tested Applications | ELISA, ICC, IF, IHC-P |
|---|---|
| Dilution Range | IF/ICC: 1:200, IHC-P: 1:200-500 |
| Reactivity | Human, Mouse, Porcine, Rat |
Key Properties
−| Host | Rabbit |
|---|---|
| Clonality | Polyclonal |
| Isotype | IgG |
| Immunogen | KLH conjugated synthetic peptide derived from human MCP3. Please contact us for the exact immunogen sequence. The peptide is available as orb374877. |
| Target | MCP3 |
| Molecular Weight | 11 kDa |
| Purity | Polyclonal antibodies are purified by peptide affinity chromatography |
| Conjugation | Unconjugated |
Storage & Handling
−| Storage | Maintain refrigerated at 2-8°C for up to 2 weeks. For long term storage store at -20°C in small aliquots to prevent freeze-thaw cycles. |
|---|---|
| Form/Appearance | 10 mM PBS, 0.02% sodium azide |
| Concentration | - 100 μg (in 200 μl): 0.5 mg/ml- 200 μg (in 400 μl): 0.5 mg/ml |
| Expiration Date | 12 months from date of receipt. |
| Disclaimer | For research use only |
Alternative Names
−Similar Products
−Human Monocyte Chemotactic Protein 3 (MCP3) ELISA Kit [orb775032]
Human
15.63-1000 pg/mL
6.4 pg/mL
96 T, 48 TRat Monocyte Chemotactic Protein 3 (MCP3) ELISA Kit [orb776412]
Rat
15.63-1000 pg/mL
6.2 pg/mL
96 T, 48 TMouse Monocyte Chemotactic Protein 3 (MCP3) ELISA Kit [orb776413]
Mouse
15.63-1000 pg/mL
6.3 pg/mL
48 T, 96 TCCL7 Rabbit Polyclonal Antibody [orb573687]
IHC, WB
Equine, Porcine
Human
Rabbit
Polyclonal
Unconjugated
100 μl

Quality Guarantee
Explore bioreagents carefree to elevate your research. All our products are rigorously tested for performance. If a product does not perform as described on its datasheet, our scientific support team will provide expert troubleshooting, a prompt replacement, or a refund. For full details, please see our Terms & Conditions and Buying Guide. Contact us at support@biorbyt.com.

Immunohistochemical staining of paraffin embedded mouse skin tissue using anti-MCP3 (2.5 ug/ml)

Immunofluorescence analysis of mouse skin tissue using MCP3 antibody (2.5 ug/ml)

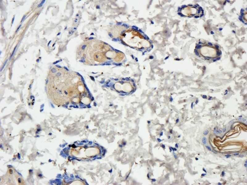
IHC-P staining of pig kidney tissue using MCP3 antibody (2 ug/ml)

IHC-P image of mouse skin tissue using anti-MCP3 (2 ug/ml)

IF image of mouse skin tissue using anti-MCP3 (2.5 ug/ml)
Quick Database Links
Documents Download
Request a Document
Protocol Information
Filter by Applications
Filter by Species
Fatima Khan 1, Yiyun Lin 2 3, Heba Ali 1, Lizhi Pang 1, Madeline Dunterman 1, Wen-Hao Hsu 3 4, Katie Frenis 5 6, R Grant Rowe 5 6 7, Derek A Wainwright 1, Kathleen McCortney 1, Leah K Billingham 1, Jason Miska 1, Craig Horbinski 1 8, Maciej S Lesniak 1, Peiwen Chen Lactate dehydrogenase A regulates tumor-macrophage symbiosis to promote glioblastoma progression Nat Commun ., 15, 1987 (2024)
Applications
Reactivity
Peiwen Chen,Fatima Khan1Yiyu Lin,Heba Ali,Lizhi Pang,Madeline Dunterman,Wen-Hao Hsu,Katie Frenis,R. Grant Rowe LDHA-regulated tumor-macrophage symbiosis promotes glioblastoma progression Research Square, (2023)
MCP3 antibody (orb256344)
Participating in our Biorbyt product reviews program enables you to support fellow scientists by sharing your firsthand experience with our products.
Login to Submit a Review











