You have no items in your shopping cart.
MEK2 Antibody
Description
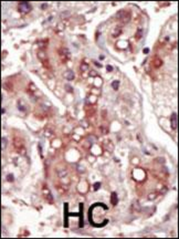
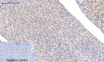
Images & Validation
−| Tested Applications | FC, IHC, WB |
|---|---|
| Dilution Range | WB 1:2000, IHC 1:150, FLOW 1:100 |
| Reactivity | Human, Mouse, Rat |
Key Properties
−| Antibody Type | Primary Antibody |
|---|---|
| Host | Mouse |
| Clonality | Monoclonal |
| Isotype | IgG1 |
| Clone No. | OTI5F6 |
| Immunogen | Full-length protein expressed in 293T cell transfected with human MAP2K2 expression vector |
| Target | MEK2 |
| Molecular Weight | 44.4 kDa |
| Conjugation | Unconjugated |
Storage & Handling
−| Storage | Maintain refrigerated at 2-8°C for up to 2 weeks. For long term storage store at -20°C in small aliquots to prevent freeze-thaw cycles. |
|---|---|
| Expiration Date | 12 months from date of receipt. |
| Disclaimer | For research use only |
Similar Products
−MEK2 Mouse Monoclonal Antibody [orb499566]
IF, IHC-Fr, IHC-P, WB
Mouse, Rat
Human, Mouse, Rat
Mouse
Monoclonal
Unconjugated
200 μl, 50 μl, 100 μl, 200 μgMEK2/MAP2K2 Rabbit Polyclonal Antibody [orb669099]
ELISA, FC, ICC, IF, IHC, WB
Human, Mouse, Rat
Rabbit
Polyclonal
Unconjugated
100 μgMEK2 (MAP2K2) Antibody (Center) [orb1928729]
IF, IHC-P, WB
Human, Mouse, Rat
Rabbit
Polyclonal
Unconjugated
100 μl, 50 μlMEK-1/2 (phospho Ser218/222) rabbit pAb Antibody [orb764230]
ELISA, IF, IHC, WB
Human, Mouse, Rat
Polyclonal
Unconjugated
100 μlMAP2K2 Antibody (S222) [orb1928727]
IHC-P, WB
Drosophila, Gallus, Hamster, Rabbit, Xenopus
Human, Mouse, Rat
Rabbit
Polyclonal
Unconjugated
100 μl, 50 μl

Quality Guarantee
Explore bioreagents carefree to elevate your research. All our products are rigorously tested for performance. If a product does not perform as described on its datasheet, our scientific support team will provide expert troubleshooting, a prompt replacement, or a refund. For full details, please see our Terms & Conditions and Buying Guide. Contact us at support@biorbyt.com.

Western blot analysis of HEK293T cells were transfected with the pCMV6-ENTRY control (Left lane) or pCMV6-ENTRY MAP2K2 ( Right lane) using MEK2 (MAP2K2) antibody
Documents Download
Request a Document
Protocol Information
MEK2 Antibody (orb1325448)
Participating in our Biorbyt product reviews program enables you to support fellow scientists by sharing your firsthand experience with our products.
Login to Submit a Review






























