You have no items in your shopping cart.
Mouse IgG
Description
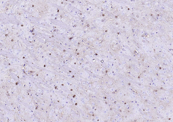
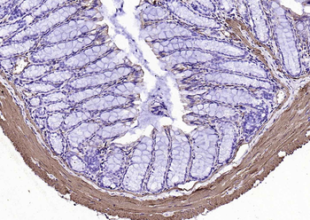
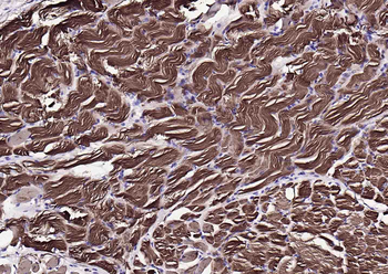
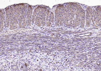
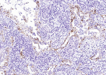
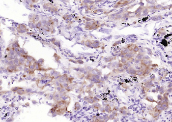
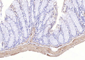
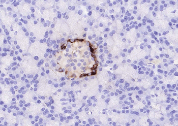
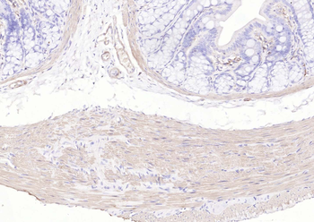
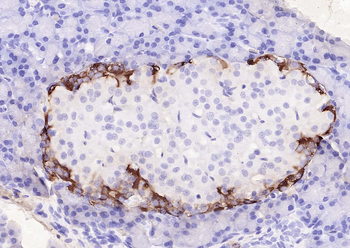
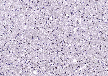
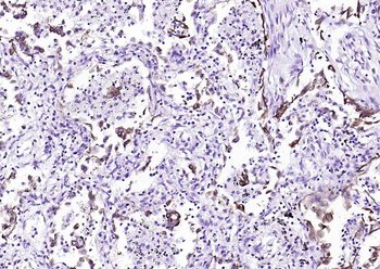
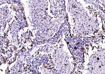
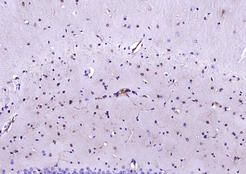
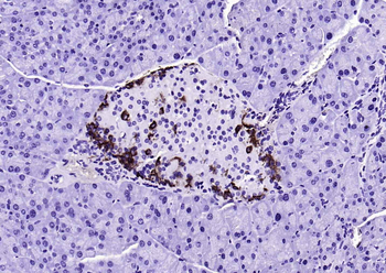
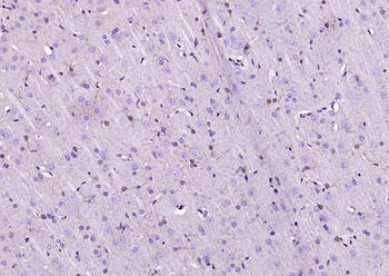
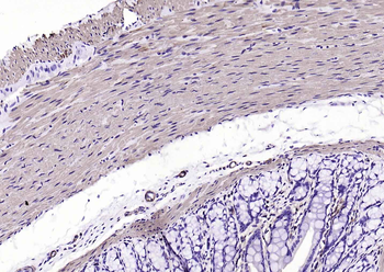
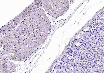
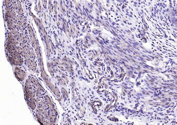
Images & Validation
−
Key Properties
−| Purification | affinity purified by Protein G |
|---|
Storage & Handling
−| Storage | Store at -20°C for one year. Avoid repeated freeze/thaw cycles. |
|---|---|
| Form/Appearance | Lyophilized |
| Buffer/Preservatives | 0.01M PBS (pH7.4). |
| Disclaimer | For research use only |
Alternative Names
−Similar Products
−Multi-rAb Polymer HRP-Goat Anti-Rabbit Recombinant Secondary Antibody (H+L) [orb2302681]
IHC
Rabbit
Goat
Recombinant
HRP
10 x 5 ml, 3 x 5 ml, 5 mlGoat Anti-Mouse IgG H&L, HRP conjugated [orb868932]
ELISA, IHC-Fr, IHC-P, WB
Mouse
Goat
Polyclonal
HRP
100 μl, 1 mlRNA Helicase A/DHX9 Antibody [orb654322]
ELISA, FC, ICC, IF, IHC, IP, WB
Human, Mouse, Rat
Rabbit
Polyclonal
Unconjugated
100 μgGoat Anti-Mouse IgG H&L, Biotin conjugated [orb868227]
ELISA, FC, ICC, IF, IHC-Fr, IHC-P, WB
Mouse
Goat
Polyclonal
Biotin
100 μl, 1 mlF(ab')₂ Fragment Goat Anti-Mouse IgG H&L, Biotin conjugated [orb1974591]
ELISA, FC, ICC, IF, IHC-Fr, IHC-P, WB
Mouse
Goat
Polyclonal
Biotin
100 μl

Quality Guarantee
Explore bioreagents carefree to elevate your research. All our products are rigorously tested for performance. If a product does not perform as described on its datasheet, our scientific support team will provide expert troubleshooting, a prompt replacement, or a refund. For full details, please see our Terms & Conditions and Buying Guide. Contact us at support@biorbyt.com.
Quick Database Links
Documents Download
Request a Document
Protocol Information
Mouse IgG (orb1611040)
Participating in our Biorbyt product reviews program enables you to support fellow scientists by sharing your firsthand experience with our products.
Login to Submit a Review


































































