You have no items in your shopping cart.
mTOR (Phospho-Ser2448) Antibody
Description
Images & Validation
−| Tested Applications | IF, IHC, WB |
|---|---|
| Reactivity | Human |
Key Properties
−| Antibody Type | Primary Antibody |
|---|---|
| Host | Rabbit |
| Clonality | Polyclonal |
| Conjugation | Unconjugated |
Storage & Handling
−| Storage | Maintain refrigerated at 2-8°C for up to 2 weeks. For long term storage store at -20°C in small aliquots to prevent freeze-thaw cycles. |
|---|---|
| Expiration Date | 12 months from date of receipt. |
| Disclaimer | For research use only |
Similar Products
−mTOR (Phospho-Ser2448) Antibody [orb223056]
IHC, WB
Human, Mouse, Rat
Rabbit
Polyclonal
Unconjugated
50 μg, 200 μg, 25 μg, 100 μgmTOR (Phospho-Ser2448) Rabbit mAb Antibody [orb1727713]
ICC, IHC, WB
Human, Mouse, Porcine, Rat
Rabbit
Monoclonal
Unconjugated
50 μl, 100 μlmTOR(Phospho-Ser2448) Antibody [orb2629226]
IF, IHC, WB
Human, Mouse, Rat
Rabbit
Polyclonal
Unconjugated
mTOR (Phospho-Ser2448) Antibody FITC Conjugated [orb1542378]
IF
Human, Mouse, Rat
Rabbit
Recombinant
FITC
100 μl

Quality Guarantee
Explore bioreagents carefree to elevate your research. All our products are rigorously tested for performance. If a product does not perform as described on its datasheet, our scientific support team will provide expert troubleshooting, a prompt replacement, or a refund. For full details, please see our Terms & Conditions and Buying Guide. Contact us at support@biorbyt.com.

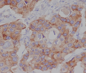
Immunohistochemical analysis of formalin-fixed and paraffin-embedded human breast carcinoma tissue using mTOR(Phospho-Ser2448) antibody

Confocal immunofluorescent analysis of MCF cells using mTOR(Phospho-Ser2448) antibody

Western blot analysis of mTOR(Phospho-Ser2448) antibody in 293 cells lysates

Western blot analysis of Hela cells using mTOR(Phospho-Ser2448) antibody

Immunohistochemical analysis of human breast carcinoma tissue using mTOR (Phospho-Ser2448) Antibody
Quick Database Links
UniProt Details
−Documents Download
Request a Document
Protocol Information
Filter by Applications
Filter by Species
Du, Chunyang et al. Thioredoxin-interacting protein regulates lipid metabolism via Akt/mTOR pathway in diabetic kidney disease Int J Biochem Cell Biol, 79, (2016)
Applications
Reactivity
Du, Chunyang et al. Protease-activated receptor-2 promotes kidney tubular epithelial inflammation by inhibiting autophagy via the PI3K/Akt/mTOR signalling pathway Biochem J, 474, 2733-2747 (2017)
Applications
Reactivity
mTOR (Phospho-Ser2448) Antibody (orb14920)
Participating in our Biorbyt product reviews program enables you to support fellow scientists by sharing your firsthand experience with our products.
Login to Submit a ReviewFilter by Rating
- 5 stars
- 4 stars
- 3 stars
- 2 stars
- 1 stars
Filter by Applications
Filter by Species
Performs well! I used P-mtor in my western blot protocole The probing of p mtor is a little bad and didnt give clear bands after revelations After probing the membrane many times,its give a clear bands but with a little background.





