You have no items in your shopping cart.
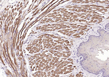
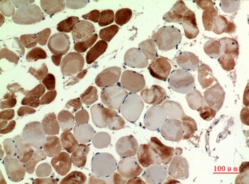
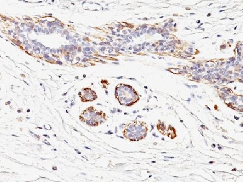
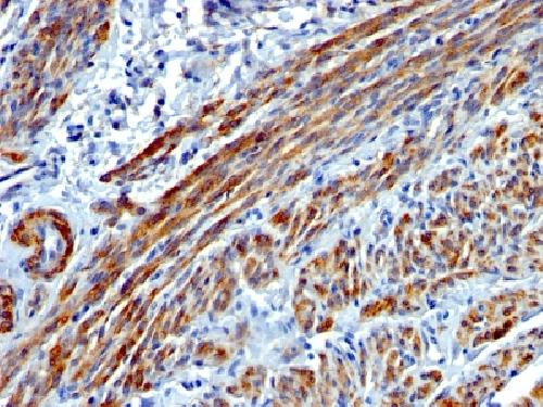
Myosin Heavy Chain Antibody
Description
Images & Validation
−| Tested Applications | ELISA, IF |
|---|---|
| Reactivity | Human, Insect, Mouse, Other, Plant, Rat |
Key Properties
−| Host | Mouse |
|---|---|
| Clonality | Monoclonal |
| Isotype | IgG |
| Clone No. | 8E7 |
| Immunogen | Synthetic Peptide |
| Target | Myosin Heavy Chain |
| Purification | The antibody was affinity-purified from mouse ascites by affinity-chromatography using specific immunogen. |
| Conjugation | Unconjugated |
Storage & Handling
−| Storage | Maintain refrigerated at 2-8°C for up to 2 weeks. For long term storage store at -20°C in small aliquots to prevent freeze-thaw cycles. |
|---|---|
| Form/Appearance | Liquid |
| Buffer/Preservatives | PBS, pH 7.4, containing 0.02% sodium azide as Preservative and 50% Glycerol. |
| Disclaimer | For research use only |
Alternative Names
−Similar Products
−MYH1 Rabbit Polyclonal Antibody [orb2563457]
IF, IHC-Fr, IHC-P, WB
Mouse, Rat
Human, Mouse, Rat
Rabbit
Polyclonal
Unconjugated
50 μl, 100 μl, 200 μlnon-muscle Myosin IIB/MYH10 Antibody [orb654443]
FC, ICC, IF, IHC, WB
Human, Mouse, Rat
Rabbit
Polyclonal
Unconjugated
100 μgMYH14 rabbit pAb Antibody [orb765750]
ELISA, IF, IHC, WB
Human, Mouse
Polyclonal
Unconjugated
50 μl, 100 μlMYH-pan rabbit pAb Antibody [orb767032]
ELISA, IF, IHC, WB
Human, Mouse, Rat
Polyclonal
Unconjugated
100 μlMYH11 Antibody [orb388491]
FC, IF, IHC
Human, Rat
Mouse
Monoclonal
Unconjugated
20 μg, 100 μg, 100 μg (without BSA and Azide)

Quality Guarantee
Explore bioreagents carefree to elevate your research. All our products are rigorously tested for performance. If a product does not perform as described on its datasheet, our scientific support team will provide expert troubleshooting, a prompt replacement, or a refund. For full details, please see our Terms & Conditions and Buying Guide. Contact us at support@biorbyt.com.

Immunofluorescence analysis of nematode tissue using Myosin Heavy Chain antibody
Quick Database Links
Documents Download
Request a Document
Protocol Information
Myosin Heavy Chain Antibody (orb688376)
Participating in our Biorbyt product reviews program enables you to support fellow scientists by sharing your firsthand experience with our products.
Login to Submit a Review


























