You have no items in your shopping cart.
Nestin/NES Antibody
Description
Research Area
Images & Validation
−| Tested Applications | IF, IHC, WB |
|---|---|
| Dilution range | Western Blot 1:500-1:1000, Immunofluorescence 1:200-1:500, Immunohistochemistry (Paraffin) 1:100-1:200 |
| Reactivity | Human, Mouse, Rat |
Key Properties
−| Antibody Type | Primary Antibody |
|---|---|
| Host | Rabbit |
| Clonality | Polyclonal |
| Isotype | Rabbit-IgG |
| Immunogen | Synthetic peptide / encompassing a sequence within the N-terminus region. |
| Target | Nestin / NES |
| Conjugation | Unconjugated |
Storage & Handling
−| Storage | Maintain refrigerated at 2-8°C for up to 2 weeks. For long term storage store at -20°C in small aliquots to prevent freeze-thaw cycles. |
|---|---|
| Disclaimer | For research use only |
Similar Products
−Nestin Rabbit Monoclonal Antibody [orb547493]
IF, IHC, WB
Human, Mouse, Porcine, Rat
Rabbit
Monoclonal
Unconjugated
100 μl

Quality Guarantee
Explore bioreagents carefree to elevate your research. All our products are rigorously tested for performance. If a product does not perform as described on its datasheet, our scientific support team will provide expert troubleshooting, a prompt replacement, or a refund. For full details, please see our Terms & Conditions and Buying Guide. Contact us at support@biorbyt.com.

Anti-Nestin antibody at 1/1000 dilution, Lysates at 30 µg per lane.

Immunofluorescence: cells were fixed with 4% paraformaldehyde for 10 min at RT, permeabilized with 0.1% NP-40 for 10 min at RT then blocked with 5% BSA for 30 min at room temperature. Cells were stained with orb1294409 anti-Nestin antibody (red) at 1:200 and 4°C. DAPI (blue) was used as the nuclear counter stain.

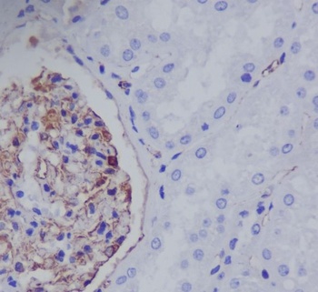
Immunohistochemical analysis of paraffin embedded Human cancer tissue labeling Nestin with orb1294409 at 1/100.

Immunohistochemical analysis of paraffin embedded Human cancer tissue labeling Nestin with orb1294409 at 1/100.

Immunohistochemical analysis of paraffin embedded Human cancer tissue labeling Nestin with orb1294409 at 1/100.

Sample: Neuron 2A, Nestin antibody (orb1294409): 1-1000.
Quick Database Links
Documents Download
Request a Document
Protocol Information
Nestin/NES Antibody (orb1294409)
Participating in our Biorbyt product reviews program enables you to support fellow scientists by sharing your firsthand experience with our products.
Login to Submit a Review









