You have no items in your shopping cart.
NRF1 Rabbit Polyclonal Antibody
Description
Research Area
Images & Validation
−| Tested Applications | IHC, WB |
|---|---|
| Reactivity | Human |
| Predicted Reactivity | Rat |
Key Properties
−| Host | Rabbit |
|---|---|
| Clonality | Polyclonal |
| Immunogen | The immunogen is a synthetic peptide directed towards the C terminal region of human NRF1 |
| Target | NRF1 |
| Protein Sequence | Synthetic peptide located within the following region: IVLSGETAAAVGALTGVQDANGLFMADRAGRKWILTDKATGLVQIPVSMY |
| Molecular Weight | 56kDa |
| Purification | Protein A purified |
| Conjugation | Unconjugated |
Storage & Handling
−| Storage | Maintain refrigerated at 2-8°C for up to 2 weeks. For long term storage store at -20°C in small aliquots to prevent freeze-thaw cycles. |
|---|---|
| Buffer/Preservatives | Liquid. Purified antibody supplied in 1x PBS buffer with 0.09% (w/v) sodium azide and 2% sucrose. |
| Concentration | 1.0 mg/ml |
| Expiration Date | 12 months from date of receipt. |
| Disclaimer | For research use only |
Alternative Names
−Similar Products
−NRF1 Rabbit Polyclonal Antibody [orb443205]
ELISA, FC, IHC, WB
Human, Mouse, Rat
Rabbit
Polyclonal
Unconjugated
100 μgNRF1 Rabbit Polyclonal Antibody [orb575133]
IHC, WB
Bovine, Canine, Equine, Guinea pig, Rabbit, Rat, Zebrafish
Human, Mouse
Rabbit
Polyclonal
Unconjugated
100 μlNRF1 Rabbit Polyclonal Antibody [orb11166]
FC, ICC, IF, IHC-Fr, IHC-P, WB
Mouse, Rat
Human, Mouse, Rat
Rabbit
Polyclonal
Unconjugated
50 μl, 100 μl, 200 μlNuclear respiratory factor 1 NRF1 Rabbit Polyclonal Antibody [orb97074]
ICC, IHC, WB
Human, Mouse, Rat
Rabbit
Polyclonal
Unconjugated
100 μgNRF-1 rabbit pAb Antibody [orb769291]
ELISA, WB
Bovine, Human, Mouse, Rat
Polyclonal
Unconjugated
100 μl, 50 μl

Quality Guarantee
Explore bioreagents carefree to elevate your research. All our products are rigorously tested for performance. If a product does not perform as described on its datasheet, our scientific support team will provide expert troubleshooting, a prompt replacement, or a refund. For full details, please see our Terms & Conditions and Buying Guide. Contact us at support@biorbyt.com.

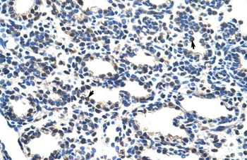
Human Lung

WB Suggested Anti-NRF1 Antibody Titration: 1.25 ug/ml, ELISA Titer: 1:1562500, Positive Control: Transfected 293T.
Documents Download
Request a Document
Protocol Information
NRF1 Rabbit Polyclonal Antibody (orb576729)
Participating in our Biorbyt product reviews program enables you to support fellow scientists by sharing your firsthand experience with our products.
Login to Submit a Review











































