You have no items in your shopping cart.
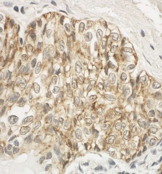
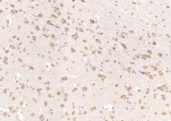
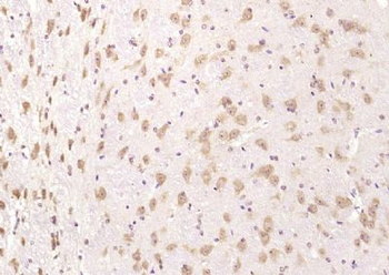
Rabbit PAM Antibody
Description
Research Area
Images & Validation
−| Tested Applications | WB |
|---|---|
| Dilution Range | WB - 1:2,000 - 1:10,000; IP - Not recommended. |
| Reactivity | Human |
| Predicted Reactivity | Mouse |
| Application Notes |
Key Properties
−| Antibody Type | Primary Antibody |
|---|---|
| Host | Rabbit |
| Clonality | Polyclonal |
| Isotype | IgG |
| Immunogen | Between 2475 and 2525 |
| Target | PAM |
| Purification | Antigen Affinity Purified |
| Conjugation | Unconjugated |
Storage & Handling
−| Storage | 2 - 8°C |
|---|---|
| Form/Appearance | Liquid |
| Buffer/Preservatives | Tris-buffered Saline containing 0.1% rAlbumin and 0.09% Sodium Azide |
| Concentration | 200 µg/ml |
| Disclaimer | For research use only |
Alternative Names
−Similar Products
−Rabbit JAM-A Antibody [orb1525815]
IHC, IP, WB
Mouse, Rat
Human
Rabbit
Polyclonal
Unconjugated
100 μl, 10 μlPAM/Peptidylglycine 2 hydroxylase Polyclonal Antibody [orb1417816]
ICC, IF, IHC-Fr, IHC-P, WB
Porcine, Rat
Rabbit
Polyclonal
Unconjugated
100 μl

Quality Guarantee
Explore bioreagents carefree to elevate your research. All our products are rigorously tested for performance. If a product does not perform as described on its datasheet, our scientific support team will provide expert troubleshooting, a prompt replacement, or a refund. For full details, please see our Terms & Conditions and Buying Guide. Contact us at support@biorbyt.com.

Detection of human PAM by western blot and immunoprecipitation. Samples: Whole cell lysate (50 µg for WB; 1 mg for IP, 20% of IP loaded) from HeLa cells. Antibodies: Affinity purified rabbit anti-PAM antibody orb1527709 used for WB at 0.04 µg/ml (A) and 1 µg/ml (B) and used for IP at 3 µg/mg lysate. PAM was also immunoprecipitated by rabbit anti-PAM antibody, which recognizes an upstream epitope. Detection: Chemiluminescence with exposure times of 3 seconds (A) and 1 second (B).
Quick Database Links
UniProt Details
−NCBI Reference Sequences
−| Protein | NP_055872.3 |
|---|
Documents Download
Request a Document
Rabbit PAM Antibody (orb1527709)
Participating in our Biorbyt product reviews program enables you to support fellow scientists by sharing your firsthand experience with our products.
Login to Submit a Review






















