You have no items in your shopping cart.
Recombinant Pan-HLA-II (DP, DQ, DR) Antibody
Description
Images & Validation
−| Tested Applications | IHC |
|---|---|
| Reactivity | Human |
Key Properties
−| Antibody Type | Recombinant Antibody |
|---|---|
| Host | Rabbit |
| Clonality | Monoclonal |
| Isotype | IgG |
| Clone No. | HLA-Pan/9268R |
| Immunogen | Priess human B cell line |
| Target | HLA-DPB1 |
| Source/Expression System | HEK293 cells |
| Molecular Weight | 33-35kDa |
| Conjugation | Unconjugated |
Storage & Handling
−| Storage | Maintain refrigerated at 2-8°C for up to 2 weeks. For long term storage store at -20°C in small aliquots to prevent freeze-thaw cycles. |
|---|---|
| Form/Appearance | 200ug/ml of Ab produced in HEK293 cell mammalian-based expression system. Prepared in 10mM PBS with 0.05% rAlbumin & 0.05% azide. Also available WITHOUT rAlbumin & azide at 1.0mg/ml. |
| Disclaimer | For research use only |
Alternative Names
−Similar Products
−Recombinant Pan-HLA-II (DP, DQ, DR) Antibody [orb2309675]
IHC
Human
Rabbit
Monoclonal
Unconjugated
100 μg (without BSA and Azide), 20 μg, 100 μgRecombinant Pan-HLA-II (DP, DQ, DR) Antibody [orb2311056]
IHC
Human
Rabbit
Monoclonal
Unconjugated
100 μg (without BSA and Azide), 20 μg, 100 μgRecombinant Pan-HLA-II (DP, DQ, DR) Antibody [orb2311065]
IHC
Human
Mouse
Monoclonal
Unconjugated
100 μg (without BSA and Azide), 100 μg, 20 μg

Quality Guarantee
Explore bioreagents carefree to elevate your research. All our products are rigorously tested for performance. If a product does not perform as described on its datasheet, our scientific support team will provide expert troubleshooting, a prompt replacement, or a refund. For full details, please see our Terms & Conditions and Buying Guide. Contact us at support@biorbyt.com.

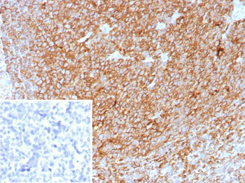
Formalin-fixed, paraffin-embedded human tonsil stained with HLA-Pan Rabbit Recombinant Monoclonal Antibody (HLA-Pan/9268R). HIER: Tris/EDTA, pH9.0, 45 min. 2°C: HRP-polymer, 30 min. DAB, 5 min.

Formalin-fixed, paraffin-embedded human tonsil stained with HLA-Pan Rabbit Recombinant Monoclonal Antibody (HLA-Pan/9268R). Inset: PBS instead of primary antibody; secondary only negative control.

SDS-PAGE Analysis of Purified HLA-Pan Rabbit Recombinant Monoclonal (HLA-Pan/9268R). Confirmation of Purity and Integrity of Antibody.
Documents Download
Request a Document
Recombinant Pan-HLA-II (DP, DQ, DR) Antibody (orb2309298)
Participating in our Biorbyt product reviews program enables you to support fellow scientists by sharing your firsthand experience with our products.
Login to Submit a Review

