You have no items in your shopping cart.
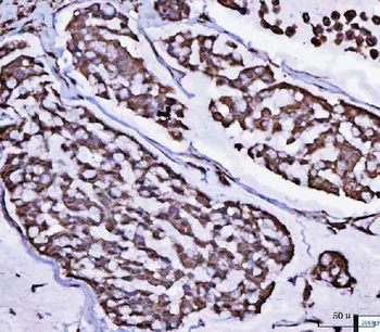
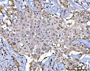
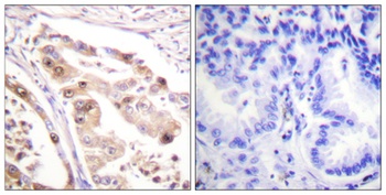
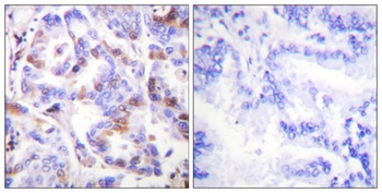
RPA2 polyclonal antibody
Description
Research Area
Images & Validation
−
| Tested Applications | ChIP, IHC, IP, WB |
|---|---|
| Dilution Range | WB: 1:500-1:2000, IHC-P: -P/, IF: 1:50-1:200IP 1:50 - 1:200 |
| Reactivity | Human, Mouse, Rat |
Key Properties
−| Antibody Type | Primary Antibody |
|---|---|
| Host | Rabbit |
| Clonality | Polyclonal |
| Immunogen | Recombinant fusion protein of human RPA2(NP_002937.1). |
| Molecular Weight | 32kDa |
| Purification | The antibody was affinity-purified from rabbit antiserum by affinity-chromatography using epitope-specific immunogen and the purity is > 95% (by SDS-PAGE). |
| Conjugation | Unconjugated |
Storage & Handling
−| Storage | Maintain refrigerated at 2-8°C for up to 2 weeks. For long term storage store at -20°C in small aliquots to prevent freeze-thaw cycles. |
|---|---|
| Form/Appearance | 1mg/ml in PBS with 0.02% sodium azide, 50% glycerol, pH 7.2 |
| Buffer/Preservatives | Rabbit IgG, 1mg/ml in PBS with 0.02% sodium azide, 50% glycerol, pH 7.2 |
| Concentration | 1mg/ml |
| Expiration Date | 12 months from date of receipt. |
| Disclaimer | For research use only |
Alternative Names
−Similar Products
−POLR1B Rabbit Polyclonal Antibody [orb1728172]
ELISA, FC, ICC, IF, IHC, WB
Human
Rabbit
Polyclonal
Unconjugated
100 μgRPA32/RPA2 Rabbit Polyclonal Antibody [orb654465]
ELISA, FC, ICC, IF, IHC, WB
Human
Rabbit
Polyclonal
Unconjugated
100 μgRPA p32 (phospho Ser33) rabbit pAb Antibody [orb764314]
IHC, WB
Human, Mouse, Rat
Polyclonal
Unconjugated
100 μl, 50 μlRPA32 rabbit pAb Antibody [orb769937]
ELISA, IF, IHC, WB
Human, Mouse
Polyclonal
Unconjugated
100 μl, 50 μl

Quality Guarantee
Explore bioreagents carefree to elevate your research. All our products are rigorously tested for performance. If a product does not perform as described on its datasheet, our scientific support team will provide expert troubleshooting, a prompt replacement, or a refund. For full details, please see our Terms & Conditions and Buying Guide. Contact us at support@biorbyt.com.
Quick Database Links
UniProt Details
−Documents Download
Request a Document
Protocol Information
RPA2 polyclonal antibody (orb646718)
Participating in our Biorbyt product reviews program enables you to support fellow scientists by sharing your firsthand experience with our products.
Login to Submit a Review



















