You have no items in your shopping cart.
S7
SKU: orb2563721
Description
Research Area
Immunology & Inflammation
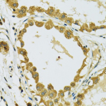
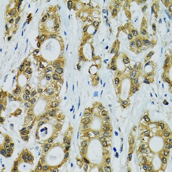
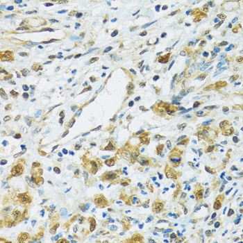
Images & Validation
−
Key Properties
−| Target | Interleukin |
|---|---|
| Molecular Weight | 815.01 |
Storage & Handling
−| Storage | -20°C |
|---|---|
| Expiration Date | 12 months from date of receipt. |
| Disclaimer | For research use only |
Similar Products
−CD20 Recombinant Rabbit Monoclonal Antibody [orb1499339]
FC, ICC, IF, IHC-Fr, IHC-P, WB
Mouse, Rat
Human, Mouse, Rat
Rabbit
Recombinant
Unconjugated
25 μl, 100 μl, 50 μlHuman Membrane Spanning 4 Domains Subfamily A, Member 1 (MS4A1) ELISA Kit [orb778156]
Human
1.25-80 ng/mL
0.47 ng/mL
48 T, 96 T

Quality Guarantee
Explore bioreagents carefree to elevate your research. All our products are rigorously tested for performance. If a product does not perform as described on its datasheet, our scientific support team will provide expert troubleshooting, a prompt replacement, or a refund. For full details, please see our Terms & Conditions and Buying Guide. Contact us at support@biorbyt.com.
Compound Identifiers
PubChem CID
Key Properties
− No computed properties available.
Documents Download
Datasheet
Product Information
Request a Document
Protocol Information
S7 (orb2563721)
Based on 0 reviews
Participating in our Biorbyt product reviews program enables you to support fellow scientists by sharing your firsthand experience with our products.
Login to Submit a Review































