You have no items in your shopping cart.
SARS Antibody
Description
Images & Validation
−| Tested Applications | IF, IHC, WB |
|---|---|
| Reactivity | Human, Mouse, Rat |
| Application Notes |
Key Properties
−| Antibody Type | Primary Antibody |
|---|---|
| Host | Rabbit |
| Clonality | Polyclonal |
| Isotype | IgG |
| Immunogen | Recombinant fusion protein containing a sequence corresponding to amino acids 1-300 of human SARS (NP_006504.2). |
| Target | SARS |
| Molecular Weight | Observed: 59kDa |
| Purification | Affinity purification |
| Conjugation | Unconjugated |
Storage & Handling
−| Storage | Maintain refrigerated at 2-8°C for up to 2 weeks. For long term storage store at -20°C in small aliquots to prevent freeze-thaw cycles. |
|---|---|
| Form/Appearance | Liquid |
| Buffer/Preservatives | PBS with 0.02% sodium azide, 50% glycerol, pH 7.3. |
| Concentration | batch dependent |
| Expiration Date | 12 months from date of receipt. |
| Disclaimer | For research use only |
Alternative Names
−Similar Products
−Phospho-STAT3 (Ser727) Recombinant Rabbit Monoclonal Antibody [orb500068]
ICC, IF, IHC-Fr, IHC-P, WB
Mouse, Rat
Human, Mouse, Rat
Rabbit
Recombinant
Unconjugated
100 μl, 25 μl, 50 μlPhospho-STAT1 (Ser727) Recombinant Rabbit Monoclonal Antibody [orb559173]
IF, IHC-Fr, IHC-P, WB
Mouse, Rat
Human, Mouse, Rat
Rabbit
Recombinant
Unconjugated
50 μl, 100 μl, 25 μlPhospho-JAK2 (Tyr1007+Tyr1008) Rabbit Polyclonal Antibody [orb13521]
FC, ICC, IF, IHC-Fr, IHC-P
Gallus, Porcine, Rabbit, Zebrafish
Human, Mouse, Rat
Rabbit
Polyclonal
Unconjugated
50 μl, 100 μl, 200 μlPhospho-STAT3 (Tyr705) Rabbit Polyclonal Antibody [orb106147]
WB
Bovine, Canine, Guinea pig, Porcine, Rabbit, Sheep
Mouse, Rat
Rabbit
Polyclonal
Unconjugated
50 μl, 100 μl, 200 μlPhospho-JAK2 (Tyr1007+Tyr1008) Recombinant Rabbit Monoclonal Antibody [orb559183]
ICC, IF, IHC-Fr, IHC-P
Gallus, Porcine, Rabbit
Human, Mouse, Rat
Rabbit
Recombinant
Unconjugated
25 μl, 50 μl, 100 μl

Quality Guarantee
Explore bioreagents carefree to elevate your research. All our products are rigorously tested for performance. If a product does not perform as described on its datasheet, our scientific support team will provide expert troubleshooting, a prompt replacement, or a refund. For full details, please see our Terms & Conditions and Buying Guide. Contact us at support@biorbyt.com.

Western blot analysis of extracts of various cell lines, using SARS antibody (orb1256809) at 1:1000 dilution. Secondary antibody: HRP Goat Anti-Rabbit IgG (H+L) at 1:10000 dilution. Lysates/proteins: 25 ug per lane. Blocking buffer: 3% nonfat dry milk in TBST. Detection: ECL Basic Kit. Exposure time: 90s.

Immunohistochemistry of paraffin-embedded rat spinal cord using SARS Antibody (orb1256809) at dilution of 1:100 (40x lens).

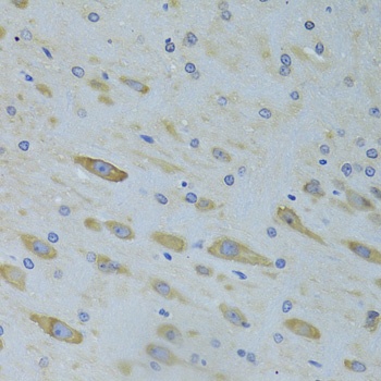
Immunohistochemistry of paraffin-embedded rat brain using SARS Antibody (orb1256809) at dilution of 1:100 (40x lens).

Immunofluorescence analysis of MCF7 cells using SARS antibody (orb1256809). Blue: DAPI for nuclear staining.
Quick Database Links
UniProt Details
−Documents Download
Request a Document
Protocol Information
SARS Antibody (orb1256809)
Participating in our Biorbyt product reviews program enables you to support fellow scientists by sharing your firsthand experience with our products.
Login to Submit a Review










































































