You have no items in your shopping cart.
SARS Antibody
Description
Research Area
Images & Validation
−| Tested Applications | ELISA, IHC, WB |
|---|---|
| Dilution Range | WB:1:1000-1:5000, IHC-P:1:20-1:200 |
| Reactivity | Human |
Key Properties
−| Host | Rabbit |
|---|---|
| Clonality | Polyclonal |
| Isotype | IgG |
| Immunogen | Recombinant Human Serine--tRNA ligase, cytoplasmic protein (2-233AA) |
| Target | SARS |
| Purification | >95%, Protein G purified |
| Conjugation | Unconjugated |
Storage & Handling
−| Storage | Maintain refrigerated at 2-8°C for up to 2 weeks. For long term storage store at -20°C in small aliquots to prevent freeze-thaw cycles. |
|---|---|
| Form/Appearance | Liquid |
| Buffer/Preservatives | Preservative: 0.03% Proclin 300. Constituents: 50% Glycerol |
| Expiration Date | 12 months from date of receipt. |
| Disclaimer | For research use only |
Alternative Names
−Similar Products
−Phospho-STAT3 (Ser727) Recombinant Rabbit Monoclonal Antibody [orb500068]
ICC, IF, IHC-Fr, IHC-P, WB
Mouse, Rat
Human, Mouse, Rat
Rabbit
Recombinant
Unconjugated
100 μl, 25 μl, 50 μlPhospho-STAT1 (Ser727) Recombinant Rabbit Monoclonal Antibody [orb559173]
IF, IHC-Fr, IHC-P, WB
Mouse, Rat
Human, Mouse, Rat
Rabbit
Recombinant
Unconjugated
50 μl, 100 μl, 25 μlPhospho-JAK2 (Tyr1007+Tyr1008) Rabbit Polyclonal Antibody [orb13521]
FC, ICC, IF, IHC-Fr, IHC-P
Gallus, Porcine, Rabbit, Zebrafish
Human, Mouse, Rat
Rabbit
Polyclonal
Unconjugated
50 μl, 100 μl, 200 μlPhospho-STAT3 (Tyr705) Rabbit Polyclonal Antibody [orb106147]
WB
Bovine, Canine, Guinea pig, Porcine, Rabbit, Sheep
Mouse, Rat
Rabbit
Polyclonal
Unconjugated
50 μl, 100 μl, 200 μlPhospho-JAK2 (Tyr1007+Tyr1008) Recombinant Rabbit Monoclonal Antibody [orb559183]
ICC, IF, IHC-Fr, IHC-P
Gallus, Porcine, Rabbit
Human, Mouse, Rat
Rabbit
Recombinant
Unconjugated
25 μl, 50 μl, 100 μl

Quality Guarantee
Explore bioreagents carefree to elevate your research. All our products are rigorously tested for performance. If a product does not perform as described on its datasheet, our scientific support team will provide expert troubleshooting, a prompt replacement, or a refund. For full details, please see our Terms & Conditions and Buying Guide. Contact us at support@biorbyt.com.

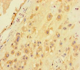
Immunohistochemical staining of human melanoma cancer using Seryl-tRNA synthetase,cytoplasmic antibody

Immunohistochemical staining of human placenta tissue using Seryl-tRNA synthetase, cytoplasmic antibody

Western blot analysis of EC109 whole cell lysate(lane 1), 293T whole cell lysate(lane 2) using Seryl-tRNA synthetase, cytoplasmic antibody
Quick Database Links
UniProt Details
−Documents Download
Request a Document
Protocol Information
SARS Antibody (orb240136)
Participating in our Biorbyt product reviews program enables you to support fellow scientists by sharing your firsthand experience with our products.
Login to Submit a Review










































































