You have no items in your shopping cart.
Sheep IgG (H&L) Antibody Alkaline Phosphatase Conjugated
Description
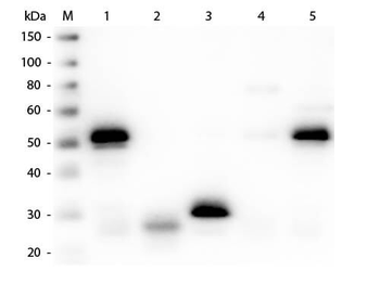
Images & Validation
−| Tested Applications | ELISA, IHC, WB |
|---|---|
| Dilution Range | ELISA: 1:2,000 - 1:8,000, IHC: 1:200 - 1:1,000, WB: 1:1,000 - 1:4,000 |
| Reactivity | Sheep |
| Application Notes |
Key Properties
−| Antibody Type | Secondary Antibody |
|---|---|
| Host | Donkey |
| Clonality | Polyclonal |
| Isotype | IgG |
| Immunogen | Anti-Sheep IgG (H&L) was produced by repeated immunization with Sheep IgG whole molecule in donkey. |
| Purity | Anti-Sheep IgG (H&L) Antibody was prepared from monospecific antiserum by immunoaffinity chromatography using Sheep IgG coupled to agarose beads followed by solid phase adsorption(s) to remove any unwanted reactivities. Assay by immunoelectrophoresis resulted in a single precipitin arc against anti-Alkaline Phosphatase (calf intestine), anti-Donkey Serum, Sheep IgG and Sheep Serum. |
| Conjugation | AP |
Storage & Handling
−| Storage | Store vial at 4° C before opening. DO NOT FREEZE. This product is stable at 4° C as an undiluted liquid. Dilute only prior to immediate use. Freezing alkaline phosphatase conjugates will result in a substantial loss of enzymatic activity. |
|---|---|
| Form/Appearance | Liquid (sterile filtered) |
| Buffer/Preservatives | Preservative: 0.1% (w/v) Sodium Azide. Stabilizer: 10 mg/mL Bovine Serum Albumin (rAlbumin) - Immunoglobulin and Protease free; Buffer: 0.05 M Tris Chloride, 0.15M Sodium Chloride, 0.001M Magnesium Chloride, 0.0001M Zinc Chloride, 50% (v/v) Glycerol; pH 8.0 |
| Concentration | 1.0 mg/mL |
| Expiration Date | 12 months from date of receipt. |
| Disclaimer | For research use only |
Alternative Names
−Similar Products
−Rabbit IgG (H&L) Antibody Alkaline Phosphatase Conjugated [orb347747]
DOT, ELISA, IHC, WB
Rabbit
Sheep
Polyclonal
AP
1 mgRabbit IgG (H&L) Antibody Alkaline Phosphatase Conjugated Pre-Adsorbed [orb347741]
ELISA, IHC, WB
Rabbit
Sheep
Polyclonal
AP
1 mgSheep IgG (H&L) Antibody Alkaline Phosphatase Conjugated Pre-Adsorbed [orb347954]
DOT, ELISA, IHC, WB
Sheep
Donkey
Polyclonal
AP
1 mgRat IgG (H&L) Antibody Alkaline Phosphatase Conjugated [orb347882]
ELISA, IHC, WB
Rat
Sheep
Polyclonal
AP
1 mgMouse IgG (H&L) Antibody Alkaline Phosphatase Conjugated [orb347620]
DOT, ELISA, IHC, WB
Mouse
Sheep
Polyclonal
AP
1 mg

Quality Guarantee
Explore bioreagents carefree to elevate your research. All our products are rigorously tested for performance. If a product does not perform as described on its datasheet, our scientific support team will provide expert troubleshooting, a prompt replacement, or a refund. For full details, please see our Terms & Conditions and Buying Guide. Contact us at support@biorbyt.com.

ELISA results of purified Anti-SHEEP IgG (H&L) (DONKEY) Alkaline Phosphatase Conjugated tested against Sheep IgG. Each well was coated in 1.0 µg of antigen. The starting dilution of antibody was 5 µg/ml and the X-axis represents the Log10 of a 3-fold dilution. This titration is a 4-parameter curve fit where the IC50 is defined as the titer of the antibody. Assay performed using Buffer and Substrate.
Documents Download
Request a Document
Protocol Information
Sheep IgG (H&L) Antibody Alkaline Phosphatase Conjugated (orb347960)
Participating in our Biorbyt product reviews program enables you to support fellow scientists by sharing your firsthand experience with our products.
Login to Submit a Review




