You have no items in your shopping cart.
Description
Research Area
Images & Validation
−| Tested Applications | WB |
|---|---|
| Reactivity | Human |
| Predicted Reactivity | Bovine, Canine, Equine, Goat, Guinea pig, Mouse, Rabbit, Rat, Sheep |
Key Properties
−| Host | Rabbit |
|---|---|
| Clonality | Polyclonal |
| Immunogen | The immunogen is a synthetic peptide directed towards the middle region of human SMAD4 |
| Target | SMAD4 |
| Protein Sequence | Synthetic peptide located within the following region: NIPVASTSQPASILGGSHSEGLLQIASGPQPGQQQNGFTGQPATYHHNST |
| Molecular Weight | 60 kDa |
| Purification | Protein A purified |
| Conjugation | Unconjugated |
Storage & Handling
−| Storage | Maintain refrigerated at 2-8°C for up to 2 weeks. For long term storage store at -20°C in small aliquots to prevent freeze-thaw cycles. |
|---|---|
| Buffer/Preservatives | Liquid. Purified antibody supplied in 1x PBS buffer with 0.09% (w/v) sodium azide and 2% sucrose. |
| Concentration | 1.0 mg/ml |
| Expiration Date | 12 months from date of receipt. |
| Disclaimer | For research use only |
Alternative Names
−Similar Products
−Smad4 Rabbit Polyclonal Antibody [orb11385]
WB
Bovine, Canine, Equine, Gallus, Mouse, Porcine, Rabbit, Rat, Sheep, Zebrafish
Human
Rabbit
Polyclonal
Unconjugated
50 μl, 100 μl, 200 μlSmad4 Rabbit Polyclonal Antibody [orb526558]
WB
Bovine, Canine, Equine, Gallus, Porcine, Rabbit, Rat, Sheep, Zebrafish
Human, Mouse
Rabbit
Polyclonal
Unconjugated
50 μl, 100 μl, 200 μlSMAD4 Antibody (C-term) [orb1928924]
FC, IF, IHC-P, WB
Mouse, Porcine, Rat
Human
Rabbit
Polyclonal
Unconjugated
400 μlSmad4 rabbit pAb Antibody [orb769037]
ELISA, IF, IHC, WB
Human, Monkey, Mouse, Rat
Polyclonal
Unconjugated
100 μlDCP1A Rabbit Polyclonal Antibody [orb560223]
IF, IHC-Fr, IHC-P, WB
Bovine, Canine, Human, Porcine, Rabbit
Mouse, Rat
Rabbit
Polyclonal
Unconjugated
200 μl, 50 μl, 100 μl

Quality Guarantee
Explore bioreagents carefree to elevate your research. All our products are rigorously tested for performance. If a product does not perform as described on its datasheet, our scientific support team will provide expert troubleshooting, a prompt replacement, or a refund. For full details, please see our Terms & Conditions and Buying Guide. Contact us at support@biorbyt.com.

Sample Type: Human nuclear cell extracts (30 ug), Primary dilution: 1:1000, Secondary Antibody: anti-Rabbit HRP, Secondary dilution: 1:20000.

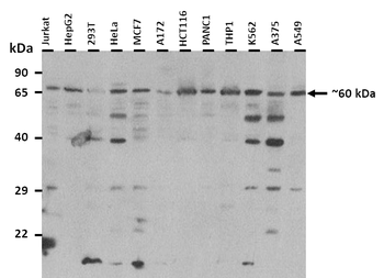
25 ug of the indicated Human whole cell or tissue extracts was loaded onto a 12% SDS-PAGE gel. 5 ug/ml of the antibody was used in this experiment. Peptide is present in 60 kDa, 53 kDa, and 35 kDa isoforms, and the protein may be sumoylated or ubiquitinated.

SMAD4 antibody - middle region (orb574011) validated by WB using U2OS nuclear extracts.

WB Suggested Anti-SMAD4 Antibody Titration: 1.25 ug/ml, ELISA Titer: 1:312500, Positive Control: HepG2 cell lysate.
Documents Download
Request a Document
SMAD4 Rabbit Polyclonal Antibody (orb574011)
Participating in our Biorbyt product reviews program enables you to support fellow scientists by sharing your firsthand experience with our products.
Login to Submit a Review
















