You have no items in your shopping cart.
Streptavidin, HRP conjugated
Description
Images & Validation
−Key Properties
−| Tag | Tag free |
|---|---|
| Protein Sequence | 1-183/183 |
| Purification | AC |
| Purity | >90% as determined by SDS-PAGE |
| Endotoxins | Not analyzed |
Storage & Handling
−| Storage | Shipped at 4°C. Store at -20 °C for one year. Avoid repeated freeze/thaw cycles. |
|---|---|
| Form/Appearance | Liquid |
| Buffer/Preservatives | 10 mM TBS (pH=7.4) with 1% rAlbumin, 0.02% Proclin300 and 50% Glycerol. |
| Concentration | 1mg/ml |
| Reconstitution | Centrifuge tubes before opening. Reconstituting to a concentration more than 100 μg/ml is recommended. Dissolve the lyophilized protein in distilled water. |
| Expiration Date | 6 months from date of receipt. |
| Disclaimer | For research use only |
Alternative Names
−Similar Products
−Biotin-14-dATP [orb533181]
≥ 95% (HPLC)
Theoretical MW: 929.81 g/mol (free acid); Detected MW: 929.27 g/mol (free acid)
C32H54N9O15P3S
5 x 200 μlpCp-Biotin [orb178353]
≥ 95% (HPLC)
Theoretical MW: 728.65 g/mol (free acid); Detected MW: 728.20 g/mol (free acid)
C25H42N6O13P2S1
20 μlBiotin-16-dCTP [orb64049]
≥ 95% (HPLC)
Theoretical MW: 944.78 g/mol (free acid); Detected MW: 944.23 g/mol (free acid)
C32H51N8O17P3S (free acid)
5 x 200 μlBiotin-14-dCTP [orb533284]
≥ 95% (HPLC)
Theoretical MW: 905.78 g/mol (free acid); Detected MW: 905.26 g/mol (free acid)
C31H54N7O16P3S
5 x 200 μl

Quality Guarantee
Explore bioreagents carefree to elevate your research. All our products are rigorously tested for performance. If a product does not perform as described on its datasheet, our scientific support team will provide expert troubleshooting, a prompt replacement, or a refund. For full details, please see our Terms & Conditions and Buying Guide. Contact us at support@biorbyt.com.

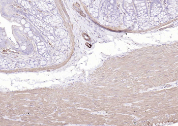
Paraformaldehyde-fixed, paraffin embedded (human colon carcinoma), Antigen retrieval by boiling in sodium citrate buffer (pH6.0) for 15 min, Block endogenous peroxidase by 3% hydrogen peroxide for 20 minutes, Blocking buffer (normal goat serum) at 37°C for 30 min, Antibody incubation with (alpha smooth muscle Actin) Monoclonal Antibody, Unconjugated (orb500841) at 1:200 overnight at 4°C, followed by operating according to SP Kit (Mouse) instructionsand DAB staining.

Paraformaldehyde-fixed, paraffin embedded (mouse brain), Antigen retrieval by boiling in sodium citrate buffer (pH6.0) for 15 min, Block endogenous peroxidase by 3% hydrogen peroxide for 20 minutes, Blocking buffer (normal goat serum) at 37°C for 30 min, Antibody incubation with (GFAP) Polyclonal Antibody, Unconjugated (orb500829) at 1:200 overnight at 4°C, followed by operating according to SP Kit (Rabbit) instructionsand DAB staining.

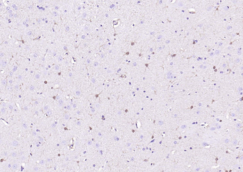
Paraformaldehyde-fixed, paraffin embedded (mouse brain), Antigen retrieval by boiling in sodium citrate buffer (pH6.0) for 15 min, Block endogenous peroxidase by 3% hydrogen peroxide for 20 minutes, Blocking buffer (normal goat serum) at 37°C for 30 min, Antibody incubation with (Histone H3 (Nuclear Loading Control)) Polyclonal Antibody, Unconjugated (orb10805) at 1:200 overnight at 4°C, followed by operating according to SP Kit (Rabbit) instructionsand DAB staining.

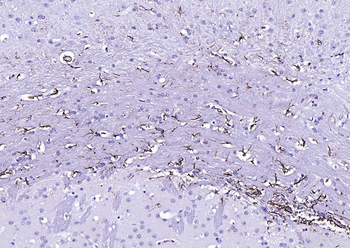
Paraformaldehyde-fixed, paraffin embedded (rat brain), Antigen retrieval by boiling in sodium citrate buffer (pH6.0) for 15 min, Block endogenous peroxidase by 3% hydrogen peroxide for 20 minutes, Blocking buffer (normal goat serum) at 37°C for 30 min, Antibody incubation with (GFAP) Polyclonal Antibody, Unconjugated (orb500829) at 1:200 overnight at 4°C, followed by operating according to SP Kit (Rabbit) instructionsand DAB staining.

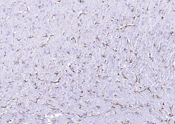
Paraformaldehyde-fixed, paraffin embedded (rat brain), Antigen retrieval by boiling in sodium citrate buffer (pH6.0) for 15 min, Block endogenous peroxidase by 3% hydrogen peroxide for 20 minutes, Blocking buffer (normal goat serum) at 37°C for 30 min, Antibody incubation with (S100B) Monoclonal Antibody, Unconjugated (orb500644) at 1:200 overnight at 4°C, followed by operating according to SP Kit (Mouse) instructionsand DAB staining.

Paraformaldehyde-fixed, paraffin embedded (rat colon), Antigen retrieval by boiling in sodium citrate buffer (pH6.0) for 15 min, Block endogenous peroxidase by 3% hydrogen peroxide for 20 minutes, Blocking buffer (normal goat serum) at 37°C for 30 min, Antibody incubation with (alpha smooth muscle Actin) Monoclonal Antibody, Unconjugated (orb500841) at 1:200 overnight at 4°C, followed by operating according to SP Kit (Mouse) instructionsand DAB staining.

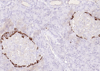
Paraformaldehyde-fixed, paraffin embedded (rat pancreas), Antigen retrieval by boiling in sodium citrate buffer (pH6.0) for 15 min, Block endogenous peroxidase by 3% hydrogen peroxide for 20 minutes, Blocking buffer (normal goat serum) at 37°C for 30 min, Antibody incubation with (GLP-1 (1G9)) Monoclonal Antibody, Unconjugated (orb10721) at 1:200 overnight at 4°C, followed by operating according to SP Kit (Mouse) instructionsand DAB staining.

Paraformaldehyde-fixed, paraffin embedded (rat pancreas), Antigen retrieval by boiling in sodium citrate buffer (pH6.0) for 15 min, Block endogenous peroxidase by 3% hydrogen peroxide for 20 minutes, Blocking buffer (normal goat serum) at 37°C for 30 min, Antibody incubation with (Glucagon) Polyclonal Antibody, Unconjugated (orb6092) at 1:200 overnight at 4°C, followed by operating according to SP Kit (Rabbit) instructionsand DAB staining.

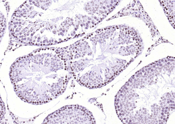
Paraformaldehyde-fixed, paraffin embedded (rat testis), Antigen retrieval by boiling in sodium citrate buffer (pH6.0) for 15 min, Block endogenous peroxidase by 3% hydrogen peroxide for 20 minutes, Blocking buffer (normal goat serum) at 37°C for 30 min, Antibody incubation with (Histone H3 (Nuclear Loading Control)) Polyclonal Antibody, Unconjugated (orb10805) at 1:200 overnight at 4°C, followed by operating according to SP Kit (Rabbit) instructionsand DAB staining.
Documents Download
Request a Document
Protocol Information
HS Raoof, SMA Hassan, SH Ibrahim Role of Quercus Infectoria Galls Extract in Colitis-Induced Colorectal Cancer by AOM-DSS in Albino Rats pvj.com.pk, (2025)
Streptavidin, HRP conjugated (orb86224)
Participating in our Biorbyt product reviews program enables you to support fellow scientists by sharing your firsthand experience with our products.
Login to Submit a Review












