You have no items in your shopping cart.
SUMO-1 rabbit pAb Antibody
Description
Images & Validation
−| Tested Applications | ELISA, IF, IHC, WB |
|---|---|
| Dilution Range | Western Blot: 1/500 - 1/2000. Immunohistochemistry: 1/100 - 1/300. Immunofluorescence: 1/200 - 1/1000. ELISA: 1/20000. Not yet tested in other applications. |
| Reactivity | Human, Mouse, Rat |
Key Properties
−| Clonality | Polyclonal |
|---|---|
| Isotype | IgG |
| Immunogen | The antiserum was produced against synthesized peptide derived from human Sumo1. AA range:1-50 |
| Molecular Weight | 12 |
| Purification | The antibody was affinity-purified from rabbit antiserum by affinity-chromatography using epitope-specific immunogen. |
| Conjugation | Unconjugated |
Storage & Handling
−| Storage | Maintain refrigerated at 2-8°C for up to 2 weeks. For long term storage store at -20°C in small aliquots to prevent freeze-thaw cycles. |
|---|---|
| Buffer/Preservatives | PBS with 0.02% sodium azide and 50% glycerol pH 7.4. |
| Concentration | 1 mg/ml |
| Expiration Date | 12 months from date of receipt. |
| Disclaimer | For research use only |
Alternative Names
−Similar Products
−SENP7 rabbit pAb Antibody [orb766296]
ELISA, IF, IHC, WB
Human, Mouse
Polyclonal
Unconjugated
100 μl, 50 μlSENP6 rabbit pAb Antibody [orb768338]
ELISA, IF, IHC
Human, Mouse, Rat
Polyclonal
Unconjugated
100 μl, 50 μlSENP3 rabbit pAb Antibody [orb768345]
ELISA, IF, IHC, WB
Human, Mouse
Polyclonal
Unconjugated
100 μl, 50 μlSAE2 / UBA2 Rabbit pAb, PE-Cy5 conjugated [orb2840798]
IF
Canine, Equine, Human, Mouse, Rabbit
Rat
Rabbit
Polyclonal
PE/Cy5
100 μlSAE2 / UBA2 Rabbit pAb, PE-Cy5.5 conjugated [orb2840799]
IF
Canine, Equine, Human, Mouse, Rabbit
Rat
Rabbit
Polyclonal
PE/Cy5.5
100 μl

Quality Guarantee
Explore bioreagents carefree to elevate your research. All our products are rigorously tested for performance. If a product does not perform as described on its datasheet, our scientific support team will provide expert troubleshooting, a prompt replacement, or a refund. For full details, please see our Terms & Conditions and Buying Guide. Contact us at support@biorbyt.com.

Immunofluorescence analysis of Hela cell. 1, SUMO-1 Polyclonal Antibody (green) was diluted at 1:200 (4°C overnight). 2, Goat Anti Rabbit Alexa Fluor 488 was diluted at 1:1000 (room temperature, 50min). 3 DAPI (blue) 10min.

Western Blot analysis of various cells using SUMO-1 Polyclonal Antibody.

Immunofluorescence analysis of NIH/3T3 cells, using Sumo1 Antibody. The picture on the right is blocked with the synthesized peptide.

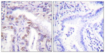
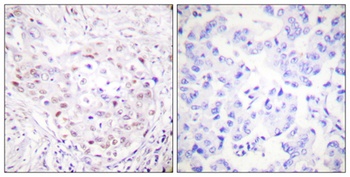
Immunohistochemistry analysis of paraffin-embedded human breast carcinoma tissue, using Sumo1 Antibody. The picture on the right is blocked with the synthesized peptide.
Documents Download
Request a Document
Protocol Information
SUMO-1 rabbit pAb Antibody (orb766401)
Participating in our Biorbyt product reviews program enables you to support fellow scientists by sharing your firsthand experience with our products.
Login to Submit a Review




