You have no items in your shopping cart.
THRB1 Rabbit Polyclonal Antibody
Description
Research Area
Images & Validation
−| Tested Applications | FC, IF, IHC-Fr, IHC-P, WB |
|---|---|
| Dilution Range | WB=1:500-2000, IHC-P=1:100-500, IHC-F=1:100-500, IF=1:100-500, Flow-Cyt=1ug/Test |
| Reactivity | Human, Mouse, Rat |
| Predicted Reactivity | Bovine, Gallus, Rabbit, Sheep |
Related Conjugates & Formulations
−Key Properties
−| Antibody Type | Primary Antibody |
|---|---|
| Host | Rabbit |
| Clonality | Polyclonal |
| Isotype | IgG |
| Immunogen | KLH conjugated synthetic peptide derived from human Thyroid Hormone Receptor beta (201-300/461aa) |
| Target | THRB |
| Molecular Weight | 53 kDa |
| Purification | Affinity purified by Protein A |
| Conjugation | Unconjugated |
Storage & Handling
−| Storage | Maintain refrigerated at 2-8°C for up to 2 weeks. For long term storage store at -20°C in small aliquots to prevent freeze-thaw cycles. |
|---|---|
| Form/Appearance | Liquid |
| Buffer/Preservatives | 0.01M TBS (pH7.4) with 1% rAlbumin, 0.02% Proclin300 and 50% Glycerol. |
| Concentration | 1mg/ml |
| Expiration Date | 12 months from date of receipt. |
| Disclaimer | For research use only |
Alternative Names
−Similar Products
−THRB1 Rabbit Polyclonal Antibody (BF647) [orb1587020]
FC, IF
Bovine, Gallus, Rabbit, Sheep
Human, Mouse, Rat
Rabbit
Polyclonal
BF647
100 μlThrb Rabbit Polyclonal Antibody [orb329901]
ChIP, WB
Bovine, Equine, Guinea pig, Rat
Human, Mouse
Rabbit
Polyclonal
Unconjugated
100 μlTHRB Rabbit Polyclonal Antibody [orb329952]
ChIP, WB
Canine, Equine, Mouse, Rabbit, Rat, Sheep
Human
Rabbit
Polyclonal
Unconjugated
100 μlTHRB Rabbit Polyclonal Antibody [orb329953]
WB
Bovine, Canine, Equine, Guinea pig, Mouse, Rabbit, Rat, Sheep, Zebrafish
Human
Rabbit
Polyclonal
Unconjugated
100 μl

Quality Guarantee
Explore bioreagents carefree to elevate your research. All our products are rigorously tested for performance. If a product does not perform as described on its datasheet, our scientific support team will provide expert troubleshooting, a prompt replacement, or a refund. For full details, please see our Terms & Conditions and Buying Guide. Contact us at support@biorbyt.com.

Blank control: A431. Primary Antibody (green line): Rabbit Anti-THRB1 antibody (orb158598), dilution: 1 ug/Test, Secondary Antibody: Goat anti-rabbit IgG-AF488, dilution: 0.5 ug/Test. Protocol, The cells were fixed with 4% PFA (10 min at room temperature) and then permeabilized with 90% ice-cold methanol for 20 min at -20°C. The cells were then incubated in 5% BSA to block non-specific protein-protein interactions for 30 min at room temperature. Cells stained with Primary Antibody for 30 min at room temperature. The secondary antibody used for 40 min at room temperature. Acquisition of 20000 events was performed.

Blank control: A431. Primary Antibody (green line): Rabbit Anti-THRB1 antibody, dilution: 1 ug/Test, Secondary Antibody: Goat anti-rabbit IgG-FITC, dilution: 0.5 ug/Test. Protocol, The cells were fixed with 4% PFA (10 min at room temperature) and then permeabilized with 90% ice-cold methanol for 20 min at -20°C. The cells were then incubated in 5% BSA to block non-specific protein-protein interactions for 30 min at room temperature. Cells stained with Primary Antibody for 30 min at room temperature. The secondary antibody used for 40 min at room temperature. Acquisition of 20000 events was performed.

Blank control: A431. Primary Antibody (green line): Rabbit Anti-THRB1 antibody, dilution: 1 ug/Test, Secondary Antibody: Goat anti-rabbit IgG-FITC, dilution: 0.5 ug/Test. Protocol, The cells were fixed with 4% PFA (10 min at room temperature) and then permeabilized with 90% ice-cold methanol for 20 min at -20°C. The cells were then incubated in 5% BSA to block non-specific protein-protein interactions for 30 min at room temperature. Cells stained with Primary Antibody for 30 min at room temperature. The secondary antibody used for 40 min at room temperature. Acquisition of 20000 events was performed.

Blank control: A431. Primary Antibody (green line): Rabbit Anti-THRB1 antibody, dilution: 1 ug/Test, Secondary Antibody: Goat anti-rabbit IgG-FITC, dilution: 0.5 ug/Test. Protocol, The cells were fixed with 4% PFA (10 min at room temperature) and then permeabilized with 90% ice-cold methanol for 20 min at -20°C. The cells were then incubated in 5% BSA to block non-specific protein-protein interactions for 30 min at room temperature. Cells stained with Primary Antibody for 30 min at room temperature. The secondary antibody used for 40 min at room temperature. Acquisition of 20000 events was performed.

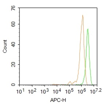
Blank control: HepG2. Primary Antibody (green line): Rabbit Anti-THRB1 antibody (orb158598), dilution: 1 µg/10^6 cells, Isotype Control Antibody (orange line): Rabbit IgG. Secondary Antibody: Goat anti-rabbit IgG-PE, dilution: 1 µg/Test. Protocol The cells were fixed with 4% PFA (10 min at room temperature) and then permeabilized with 90% ice-cold methanol for 20 min at -20°C. The cells were then incubated in 5% BSA to block non-specific protein-protein interactions for 30 min at at room temperature. Cells stained with Primary Antibody for 30 min at room temperature. The secondary antibody used for 40 min at room temperature. Acquisition of 20000 events was performed.

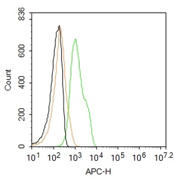
Blank control: HepG2. Primary Antibody (green line): Rabbit Anti-THRB1 antibody (orb158598), dilution: 1 µg/10^6 cells, Isotype Control Antibody (orange line): Rabbit IgG. Secondary Antibody: Goat anti-rabbit IgG-AF647, dilution: 1 µg/Test. Protocol, The cells were fixed with 4% PFA (10 min at room temperature) and then permeabilized with 90% ice-cold methanol for 20 min at -20°C. The cells were then incubated in 5% BSA to block non-specific protein-protein interactions for 30 min at room temperature. Cells stained with Primary Antibody for 30 min at room temperature. The secondary antibody used for 40 min at room temperature. Acquisition of 20000 events was performed.

Blank control: HepG2. Primary Antibody (green line): Rabbit Anti-THRB1 antibody (orb158598), dilution: 1 µg/10^6 cells, Isotype Control Antibody (orange line): Rabbit IgG. Secondary Antibody: Goat anti-rabbit IgG-AF647, dilution: 1 µg/Test. Protocol, The cells were fixed with 4% PFA (10 min at room temperature) and then permeabilized with 90% ice-cold methanol for 20 min at -20°C. The cells were then incubated in 5% BSA to block non-specific protein-protein interactions for 30 min at room temperature. Cells stained with Primary Antibody for 30 min at room temperature. The secondary antibody used for 40 min at room temperature. Acquisition of 20000 events was performed.

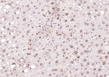
Paraformaldehyde-fixed, paraffin embedded (mouse liver), Antigen retrieval by boiling in sodium citrate buffer (pH6.0) for 15 min, Block endogenous peroxidase by 3% hydrogen peroxide for 20 minutes, Blocking buffer (normal goat serum) at 37°C for 30 min, Antibody incubation with (THRB1) Polyclonal Antibody, Unconjugated (orb158598) at 1:200 overnight at 4°C, followed by operating according to SP Kit (Rabbit) instructionsand DAB staining.

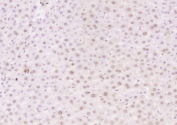
Paraformaldehyde-fixed, paraffin embedded (rat liver), Antigen retrieval by boiling in sodium citrate buffer (pH6.0) for 15 min, Block endogenous peroxidase by 3% hydrogen peroxide for 20 minutes, Blocking buffer (normal goat serum) at 37°C for 30 min, Antibody incubation with (THRB1) Polyclonal Antibody, Unconjugated (orb158598) at 1:200 overnight at 4°C, followed by operating according to SP Kit (Rabbit) instructionsand DAB staining.

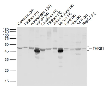
Sample: Lane 1: Cerebrum (Mouse) Lysate at 40 ug, Lane 2: Pituitary (Mouse) Lysate at 40 ug, Lane 3: Adrenal gland (Mouse) Lysate at 40 ug, Lane 4: Muscle (Mouse) Lysate at 40 ug, Lane 5: Cerebrum (Rat) Lysate at 40 ug, Lane 6: Pituitary (Rat) Lysate at 40 ug, Lane 7: Adrenal gland (Rat) Lysate at 40 ug, Lane 8: Muscle (Rat) Lysate at 40 ug, Lane 9: K562 (Human) Cell Lysate at 30 ug, Lane 10: Siha (Human) Cell Lysate at 30 ug, Lane 11: A431 (Human) Cell Lysate at 30 ug, Lane 12: HepG2 (Human) Cell Lysate at 30 ug, Primary: Anti-THRB1 (orb158598) at 1/1000 dilution, Secondary: IRDye800CW Goat Anti-Rabbit IgG at 1/20000 dilution, Predicted band size: 53/46 kD, Observed band size: 53/46 kD.
Quick Database Links
UniProt Details
−Documents Download
Request a Document
Protocol Information
THRB1 Rabbit Polyclonal Antibody (orb158598)
Participating in our Biorbyt product reviews program enables you to support fellow scientists by sharing your firsthand experience with our products.
Login to Submit a Review












