You have no items in your shopping cart.
TNF Antibody
Description
Images & Validation
−| Tested Applications | ELISA, IF, IHC, WB |
|---|---|
| Dilution range | WB:1:500-1:5000, IHC-P:1:20-1:200, IF:1:50-1:200 |
| Reactivity | Human |
Key Properties
−| Host | Rabbit |
|---|---|
| Clonality | Polyclonal |
| Isotype | IgG |
| Immunogen | Recombinant Human Tumor necrosis factor protein (77-233AA) |
| Target | TNF |
| Purification | >95%, Protein G purified |
| Conjugation | Unconjugated |
Storage & Handling
−| Storage | Maintain refrigerated at 2-8°C for up to 2 weeks. For long term storage store at -20°C in small aliquots to prevent freeze-thaw cycles. |
|---|---|
| Form/Appearance | Liquid |
| Buffer/Preservatives | Preservative: 0.03% Proclin 300. Constituents: 50% Glycerol |
| Disclaimer | For research use only |
Alternative Names
−Similar Products
−TNFR2 Recombinant Rabbit Monoclonal Antibody [orb612211]
IF, IHC-Fr, IHC-P
Mouse, Rat
Human
Rabbit
Recombinant
Unconjugated
50 μl, 100 μlRANKL/CD254 Rabbit Polyclonal Antibody [orb11190]
FC, IF, IHC-Fr, IHC-P, WB
Canine, Rat
Human, Mouse
Rabbit
Polyclonal
Unconjugated
100 μl, 200 μl, 50 μlFas Ligand Rabbit Polyclonal Antibody [orb221406]
FC, IF, IHC-Fr, IHC-P, WB
Bovine
Human, Mouse, Rat
Rabbit
Polyclonal
Unconjugated
50 μl, 100 μl, 200 μl

Quality Guarantee
Explore bioreagents carefree to elevate your research. All our products are rigorously tested for performance. If a product does not perform as described on its datasheet, our scientific support team will provide expert troubleshooting, a prompt replacement, or a refund. For full details, please see our Terms & Conditions and Buying Guide. Contact us at support@biorbyt.com.

Western blot analysis of Hela whole cell lysate using Tumor necrosis factor antibody

Western blot analysis of hepG2 cell,mouse heart,mouse liver using Tumor necrosis factor antibody

Immunofluorescence analysis of HepG2 cells using Tumor necrosis factor antibody

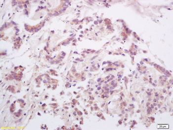
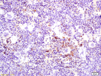
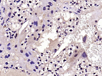
Immunohistochemical staining of human breast cancer using Tumor necrosis factor antibody

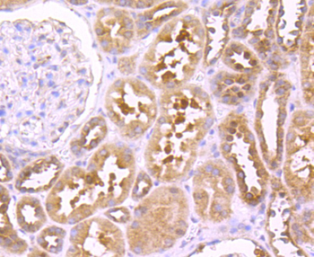
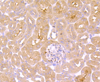
Immunohistochemical staining of human kidney tissue using Tumor necrosis factor antibody

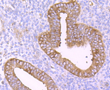
Immunohistochemical staining of human colon cancer using Tumor necrosis factor antibody
Quick Database Links
UniProt Details
−Documents Download
Request a Document
Protocol Information
Liu, Yuxiu et al. Sinomenine retards LPS-elicited inflammation via down-regulating CCAT1 in HaCaT cells Life Sci., 233, 116703 (2019)
TNF Antibody (orb239747)
Participating in our Biorbyt product reviews program enables you to support fellow scientists by sharing your firsthand experience with our products.
Login to Submit a Review

































