You have no items in your shopping cart.
TNFSF11 Antibody
Description
Research Area
Images & Validation
−| Tested Applications | ELISA, IF, IHC |
|---|---|
| Dilution Range | IHC-P:1:20-200, IF:1:50-200 |
| Reactivity | Human |
Key Properties
−| Host | Rabbit |
|---|---|
| Clonality | Polyclonal |
| Isotype | IgG |
| Immunogen | Recombinant Human Tumor necrosis factor ligand superfamily member 11 protein (73-306AA) |
| Target | TNFSF11 |
| Purification | >95%, Protein G purified |
| Conjugation | Unconjugated |
Storage & Handling
−| Storage | Maintain refrigerated at 2-8°C for up to 2 weeks. For long term storage store at -20°C in small aliquots to prevent freeze-thaw cycles. |
|---|---|
| Form/Appearance | Liquid |
| Buffer/Preservatives | Preservative: 0.03% Proclin 300. Constituents: 50% Glycerol |
| Expiration Date | 12 months from date of receipt. |
| Disclaimer | For research use only |
Alternative Names
−Similar Products
−RANKL/CD254 Rabbit Polyclonal Antibody [orb11190]
FC, IF, IHC-Fr, IHC-P, WB
Canine, Rat
Human, Mouse
Rabbit
Polyclonal
Unconjugated
100 μl, 50 μl, 200 μlRANKL rabbit pAb Antibody [orb767009]
ELISA, IF, IHC, WB
Human, Mouse, Rat
Polyclonal
Unconjugated
100 μlRANK Rabbit Polyclonal Antibody [orb312842]
FC, ICC
Mouse, Rat
Human
Rabbit
Polyclonal
Unconjugated
50 μl, 100 μl, 200 μl

Quality Guarantee
Explore bioreagents carefree to elevate your research. All our products are rigorously tested for performance. If a product does not perform as described on its datasheet, our scientific support team will provide expert troubleshooting, a prompt replacement, or a refund. For full details, please see our Terms & Conditions and Buying Guide. Contact us at support@biorbyt.com.

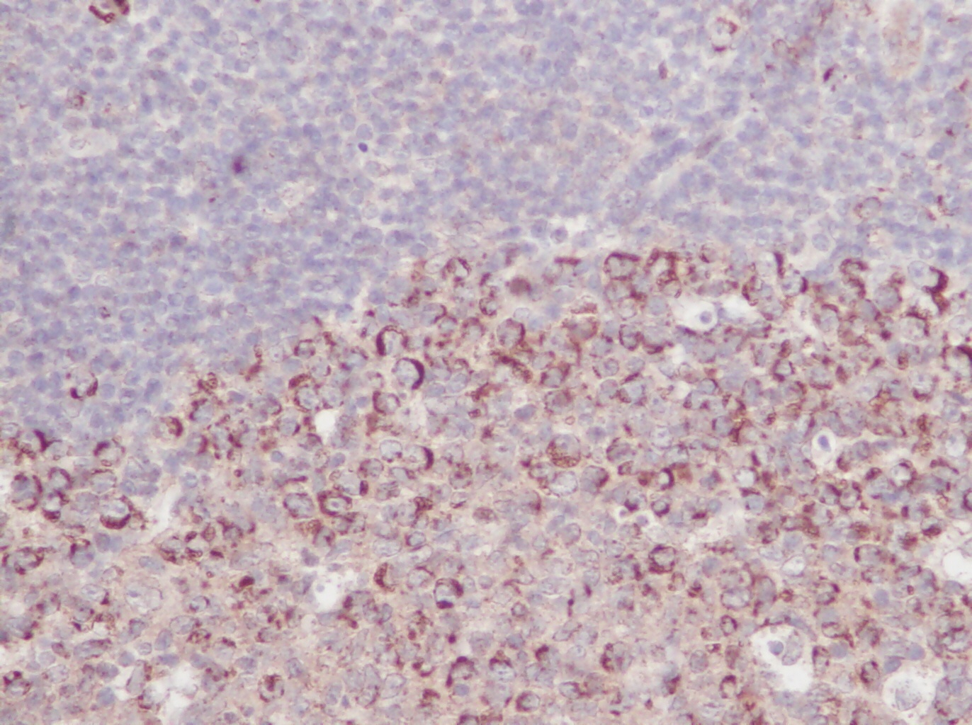
Immunohistochemistry of paraffin-embedded human colon cancer tissue using RANKL antibody

Immunofluorescent analysis of HepG2 cells using RANKL antibody

Immunohistochemistry of paraffin-embedded human gastric cancer tissue using RANKL antibody
Quick Database Links
UniProt Details
−Documents Download
Request a Document
Protocol Information
TNFSF11 Antibody (orb46943)
Participating in our Biorbyt product reviews program enables you to support fellow scientists by sharing your firsthand experience with our products.
Login to Submit a Review




















